症例詳細
Case detail
【インビザライン 非抜歯】歯の捻じれと歯のでこぼこを治したい!
治療症例の内容
- 診療科目
- 治療カテゴリ
- 担当医
- 河野豊嘉(ドクタープロフィール)
- 患者様
- 20代男性
- 矯正装置
- インビザライン
- 治療期間
- 11ヶ月
- 治療回数
- 5-10回
- 治療計画
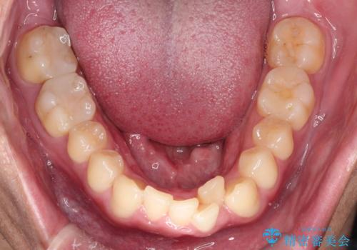
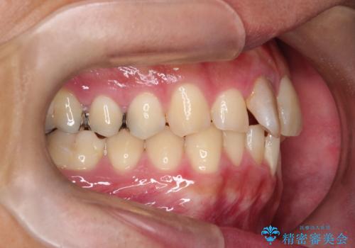
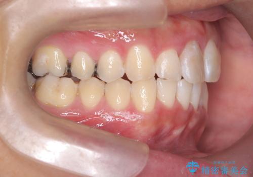
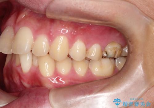
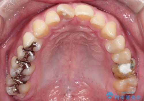
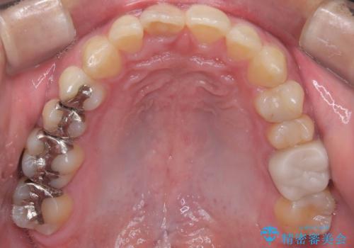
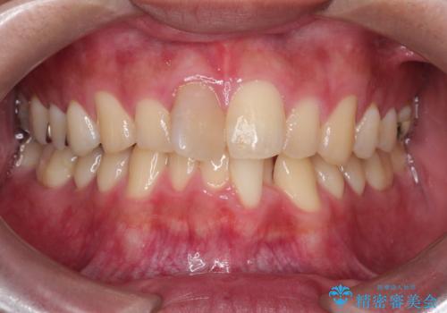
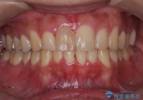
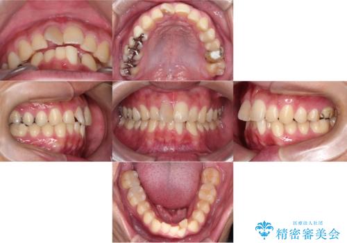
- 「上の前歯の捻じれと下の前歯のでこぼこを治したい」を主訴に来院された患者様です。
矯正検査の結果、非抜歯で矯正可能だったためインビザラインで治療を行いました。
- 費用(概算)
- 88万円費用は治療当時の料金となります
治療について
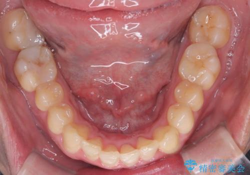
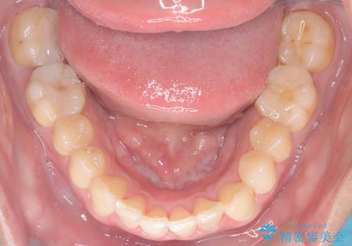
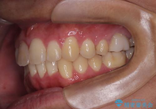
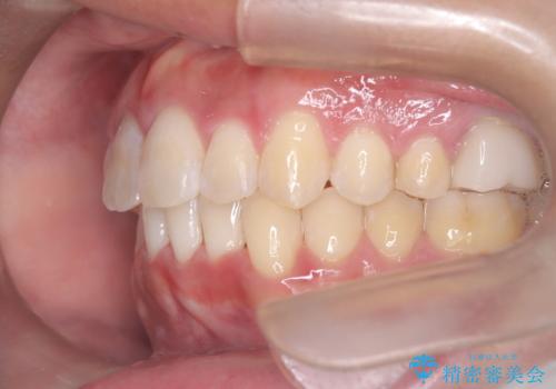
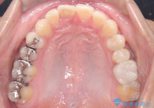
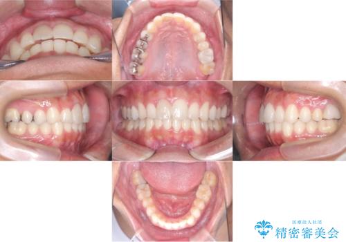
アーチの拡大とIPRで叢生を改善いました。
11ヵ月で矯正を終える事ができ患者様も大変ご満足されていました。
マウスピース矯正の注意事項(リスク・副作用など)
- 口腔内・歯並びの状態によっては対応できない場合があります
- マウスピース型矯正装置の長時間装着(1日20時間以上)が必須です
- 治療計画通りに進めるためには、患者様の意志が重要になります
- 矯正治療後の保定が不十分だと後戻り(元の位置に戻ろうとする動き)をします
- 薬機法対象外の矯正歯科装置のため医薬品副作用被害救済制度の対象外となる場合があります
- 自費診療(保険適用外)となります
当サイトの内容、テキスト、画像等の無断転載、複製、複写、盗用を固く禁じます。























