症例詳細
Case detail
インビザラインの弱点をワイヤーでフォロー
治療症例の内容
- 担当医
- 今村大二郎(ドクタープロフィール)
- 患者様
- 20代 女性
- 矯正装置
- ワイヤー(舌側装置)
- 治療期間
- 1ヶ月
- 治療回数
- 2-5回
- 治療計画
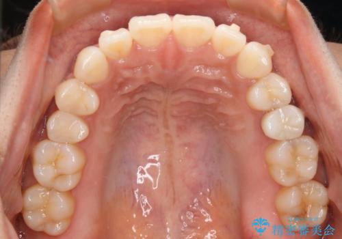
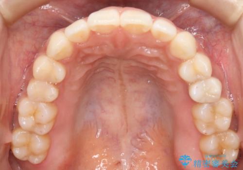
- インビザラインで全体矯正を進めてきましたが、装置の特性上右上2番目の歯の捻じれがなかなか治らず、シミュレーションを作り直すタイミングが来ました。
患者様と相談の上、短期間で確実な効果が得られるワイヤー部分矯正を取り入れて治療を進めることとしました。
- 費用(概算)
- 税込¥55,000-費用は治療当時の料金となります
マウスピースとワイヤーの矯正装置の利点・欠点
丸みがあり掴みどころのない歯や大きい歯に挟まれた小さい歯は物理的にマウスピースの力が作用しにくく、作成したシミュレーションと実際の動きがズレることが良くあります。
こうした際に効率よく修正を行うには、歯に直接装置を張り付けて矯正力を伝えることのできるワイヤー装置を部分的に使うことが有効となります。
マウスピースはシミュレーションを作り直すことができるのが特徴ではありますが、苦手な動きは何度シミュレーションを作り直してもうまく動き切らないことも多いため、時間と費用を無駄にしないためにも思い切ってワイヤーへの切り替えを選択することも必要といえます。
ワイヤー矯正の注意事項(リスク・副作用など)
- 治療中は違和感や痛みが起こることがあります
- 症状により、抜歯が必要な場合があります
- 治療中は歯磨きがしにくくなるため、虫歯や歯周病になりやすくなります
- 矯正治療後の保定が不十分だと後戻り(元の位置に戻ろうとする動き)をします
- 自費診療(保険適用外)となります
マウスピース矯正の注意事項(リスク・副作用など)
- 口腔内・歯並びの状態によっては対応できない場合があります
- マウスピース型矯正装置の長時間装着(1日20時間以上)が必須です
- 治療計画通りに進めるためには、患者様の意志が重要になります
- 矯正治療後の保定が不十分だと後戻り(元の位置に戻ろうとする動き)をします
- 薬機法対象外の矯正歯科装置のため医薬品副作用被害救済制度の対象外となる場合があります
- 自費診療(保険適用外)となります
当サイトの内容、テキスト、画像等の無断転載、複製、複写、盗用を固く禁じます。



