症例詳細
Case detail
【インビザライン】八重歯と歯のでこぼこが気になる!
治療症例の内容
- 診療科目
- 治療カテゴリ
- 担当医
- 河野豊嘉(ドクタープロフィール)
- 患者様
- 30代男性
- 治療期間
- 1年9ヶ月
- 治療回数
- 10-30回
- 治療計画
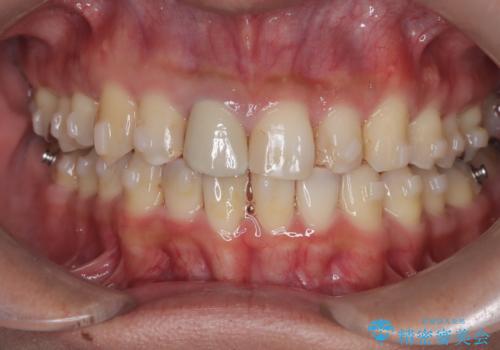
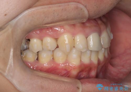
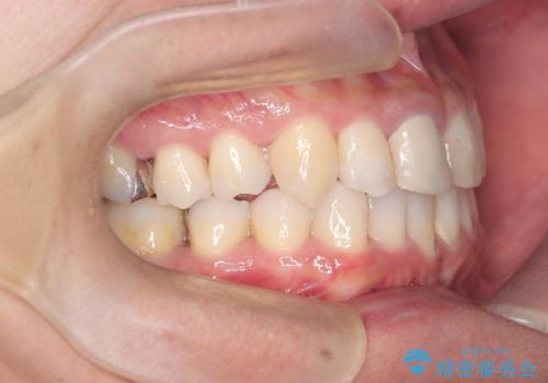
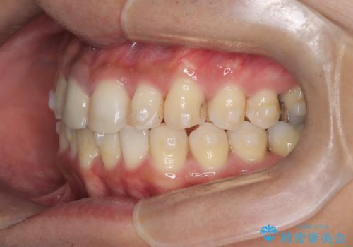
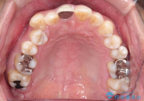
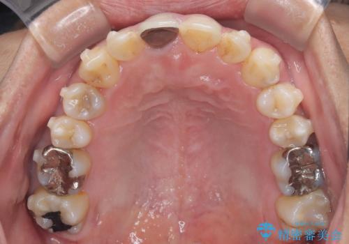
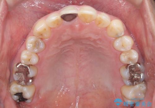
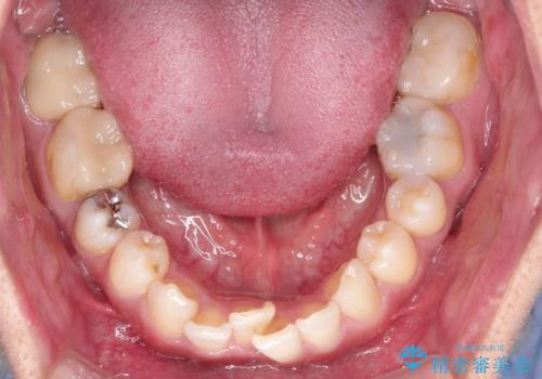
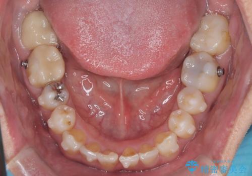
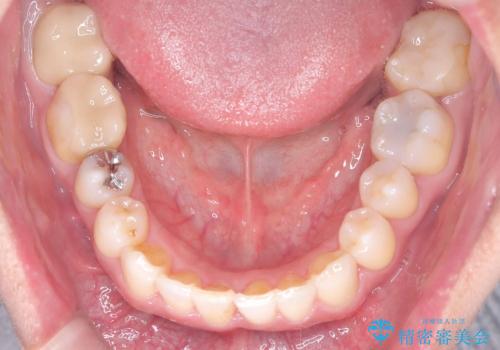
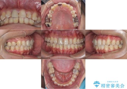
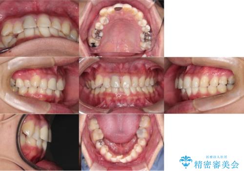
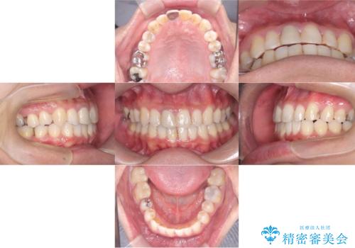
- 「八重歯と歯のでこぼこを治したい」を主訴に来院された患者様です。
歯は抜かずに奥歯の遠心移動とIPRで八重歯とでこぼこを改善しました。
- 費用(概算)
- 935,000円費用は治療当時の料金となります
治療について
インビザラインはご飯と歯ブラシ以外はマウスピースをつける矯正です。
使用時間をきちっと守っていただければ、歯のでこぼこなど綺麗に治すことが出来ます。
左上3番は保険治療(CR)の劣化による二次カリエスになっていますので、後日治療予定です。
マウスピース矯正の注意事項(リスク・副作用など)
- 口腔内・歯並びの状態によっては対応できない場合があります
- マウスピース型矯正装置の長時間装着(1日20時間以上)が必須です
- 治療計画通りに進めるためには、患者様の意志が重要になります
- 矯正治療後の保定が不十分だと後戻り(元の位置に戻ろうとする動き)をします
- 薬機法対象外の矯正歯科装置のため医薬品副作用被害救済制度の対象外となる場合があります
- 自費診療(保険適用外)となります
当サイトの内容、テキスト、画像等の無断転載、複製、複写、盗用を固く禁じます。























