症例詳細
Case detail
奥歯の欠損 インプラント治療
治療症例の内容
- 診療科目
- 治療カテゴリ
- 担当医
- 大元洋佑(ドクタープロフィール)
- 患者様
- 50代男性
- 治療期間
- 5ヶ月
- 治療回数
- 5-10回
- 治療計画
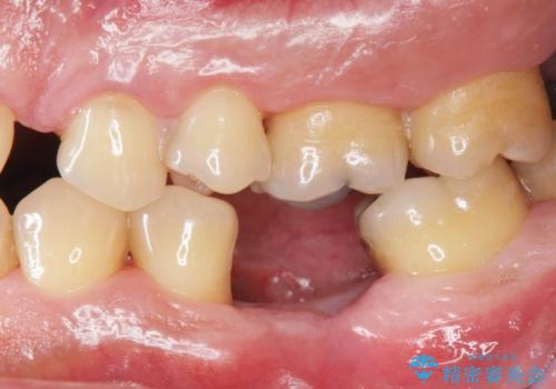
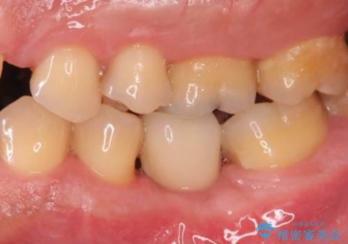
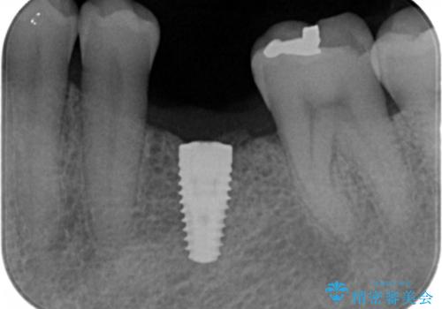
- 奥歯を失ったのち放置してしまった部位にインプラント治療を希望されて来院されました。
少量の骨造成を併用したインプラント治療を計画します。
インプラン治療は、ブリッジと異なり前後の歯を削る必要がなく、入れ歯と違い取り外しの必要がありません。
- 費用(概算)
- 44万円(インプラント・チタンカスタムアバットメント・ジルコニアクラウン・仮歯)費用は治療当時の料金となります
治療について
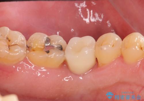
自然な仕上がりと、久しぶりのしっかりと噛める感覚に大変満足いただくことができました。
インプラント治療の注意事項(リスク・副作用など)
- 外科手術のため、術後に痛みや腫れ、違和感を伴います
- メンテナンスを怠ったり喫煙により、お口の中に大きな悪影響を及ぼすインプラント周囲炎等にかかる可能性があります
- 糖尿病、肝硬変、心臓病等の場合、インプラント治療ができない可能性があります
- 高血圧、貧血・不整脈等の場合、インプラント治療後に治癒不全を招く可能性があります
- 自費診療(保険適用外治療)となります
当サイトの内容、テキスト、画像等の無断転載、複製、複写、盗用を固く禁じます。













