症例詳細
Case detail
過大な咬合力で破折した奥歯 インプラント治療で咬合機能の回復
治療症例の内容
- 診療科目
- 担当医
- 大元洋佑(ドクタープロフィール)
- 患者様
- 50代女性
- 治療期間
- 9ヶ月
- 治療回数
- 5-10回
- 治療計画
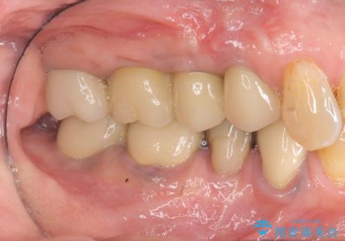
- 「噛むと歯に痛みを感じる、噛めない。」、と痛みの改善を希望され来院されました。
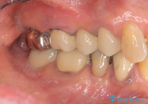
X線写真検査を行ったところ、ブリッジ支台の歯が破折(割れている状態)し抜歯が必要な状態です。
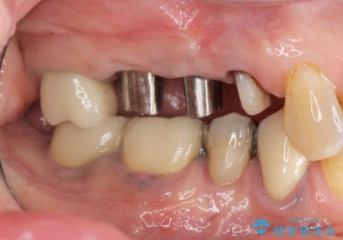
抜歯をしたのちしっかりと咬合力を回復し前後の歯を守るためにも、入れ歯やブリッジではなくインプラントによる咬合機能回復を計画します。
- 費用(概算)
- 125.4万円(インプラント×2・チタンカスタムアバットメント×2・ジルコニアクラウン×4・仮歯×4)費用は治療当時の料金となります
治療について
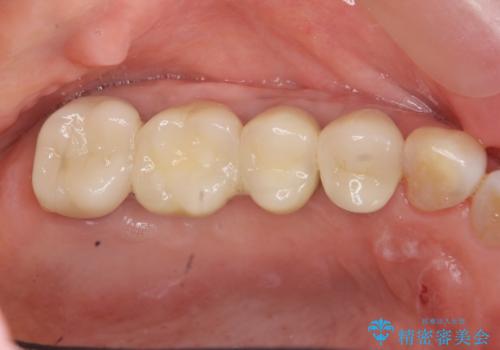
インプラント治療が終了し、しっかりと咬合機能が回復しまた食事が楽しめるようになりました。
インプラント治療の注意事項(リスク・副作用など)
- 外科手術のため、術後に痛みや腫れ、違和感を伴います
- メンテナンスを怠ったり喫煙により、お口の中に大きな悪影響を及ぼすインプラント周囲炎等にかかる可能性があります
- 糖尿病、肝硬変、心臓病等の場合、インプラント治療ができない可能性があります
- 高血圧、貧血・不整脈等の場合、インプラント治療後に治癒不全を招く可能性があります
- 自費診療(保険適用外治療)となります
当サイトの内容、テキスト、画像等の無断転載、複製、複写、盗用を固く禁じます。















