症例詳細
Case detail
咬合の崩壊 金属床義歯で咬合機能の回復
治療症例の内容
- 担当医
- 大元洋佑(ドクタープロフィール)
- 患者様
- 70代女性
- 治療期間
- 10ヶ月
- 治療回数
- 10-30回
- 治療計画
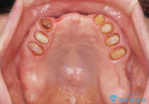
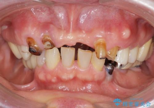
- 「体調が悪く歯医者に行けない間にどんどん歯が悪くなってしまった、治療をしたい。」と咬合機能の回復を希望され来院されました。
「大規模な手術は避けたい。」と言う希望を鑑み、インプラントではなく残せる歯の連結セラミッククラウンの作製、金属床義歯を用いてしっかりと咬合機能を回復できるよう治療を進めます。
- 費用(概算)
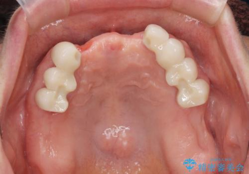
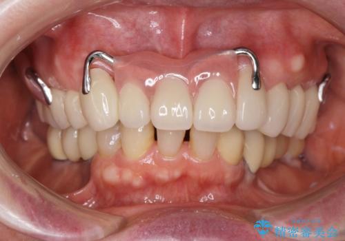
- 110万円(ジルコニアクラウン×7・仮歯×7 金属床義歯)費用は治療当時の料金となります
治療について
年齢と体調を考慮して、インプラントではなく入れ歯で咬合機能の回復を達成する治療計画としました。
入れ歯の注意事項(リスク・副作用など)
- ブリッジやインプラントと比較して、色が合いづらい、見た目の違和感があります
- ブリッジやインプラントと比較して、話しにくい、舌が当たる等の違和感があります
- 慣れるまで微調整で何度か通って頂くことがあります
- 就寝時や食後に毎回取り外して、清掃する必要があります
- 自費診療(保険適用外)となります
当サイトの内容、テキスト、画像等の無断転載、複製、複写、盗用を固く禁じます。











