症例詳細
Case detail
妻に歯医者へ行くよう言われて来院
治療症例の内容
- 診療科目
- 治療カテゴリ
- 患者様
- 30代男性
- 治療期間
- 1日
- 治療回数
- 1回
- 治療計画
- 妻から、歯医者でのクリーニングを勧められたとのことで来院されました。
毎日の歯ブラシは頑張っているつもりだが、磨き残しのチェックとクリーニングを希望されました。
- 費用(概算)
- ¥14300税込み費用は治療当時の料金となります
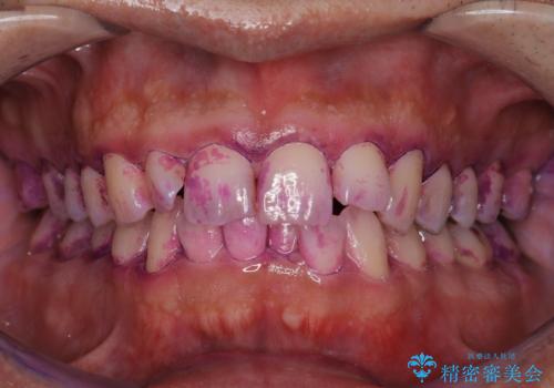
染め出しとは
染め出しとは、専用の薬剤を使ってプラーク(歯垢)を赤く染め出すものです。
プラーク(歯垢)は歯と同じような色をしているので、見ただけではどれくらい付いているのかとてもわかりにくいです。
染めだしをすることにより、歯磨きの仕方のくせや、磨き残しを一目で把握でき、改善していくことが可能です。
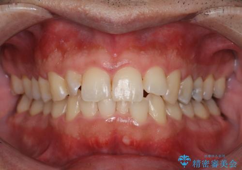
エアフローワンによるクリーニング
極小のパウダーと水を噴霧することで、歯や歯ぐきに対する負担を少なく、歯磨きでは落とすことができない汚れや着色などを除去することができます。
また、クリーニングで除去しにくい歯と歯の間の着色や矯正装置の周りなどにも対応しており、効率的に除去することができます。
料金(渋谷しらゆり歯科)
エアフローワン60分コース¥14300
(前歯から奥歯)
エアフローワン30分コース¥8800
(前歯メイン)
※歯石や着色の量により範囲は変わります。
担当
渋谷しらゆり歯科 DH橋川
PMTCの注意事項(リスク・副作用など)
- 歯を白くする目的の施術ではありません
- 保険適用外となります
当サイトの内容、テキスト、画像等の無断転載、複製、複写、盗用を固く禁じます。




