症例詳細
Case detail
矯正の後戻りを防ぐ骨隆起の切除
治療症例の内容
- 担当医
- 大元洋佑(ドクタープロフィール)
- 患者様
- 30代女性
- 治療期間
- 1日
- 治療回数
- 2-5回
- 治療計画
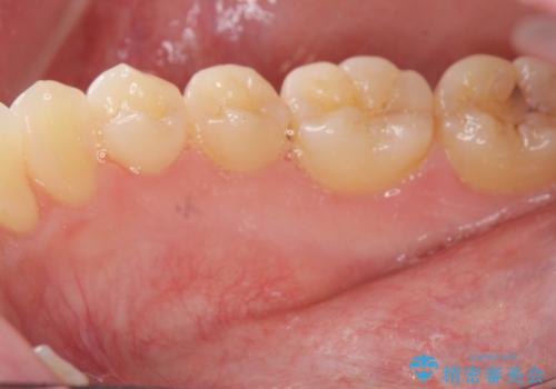
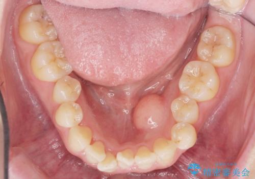
- 矯正治療に先立ち、舌の収まりを改善し矯正治療後の後戻りリスクを下げるため、大きな下顎隆起の切除を計画します。
- 費用(概算)
- 5.5万円 (骨隆起除去・静脈内鎮静代)費用は治療当時の料金となります
治療について
このあと、両側の隆起を除去し、舌の収まりが楽になったと喜んでいただくことができました。
外科処置の注意事項(リスク・副作用など)
- 外科手術のため、術後に出血、痛みや腫れ、違和感を伴います
- 口腔内の状態によっては適応できないことがあります
当サイトの内容、テキスト、画像等の無断転載、複製、複写、盗用を固く禁じます。









