症例詳細
Case detail
【再生治療】歯がぐらぐらして怖い
治療症例の内容
- 診療科目
- 治療カテゴリ
- 担当医
- 河口智英(ドクタープロフィール)
- 患者様
- 30代女性
- 治療期間
- 11ヶ月
- 治療回数
- 2-5回
- 治療計画
- 歯がぐらぐらしてきて怖いとのことで、当院に来院された患者様です。
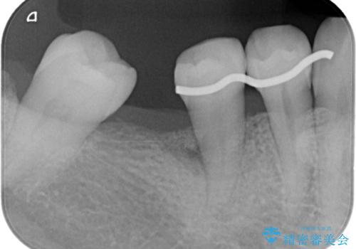
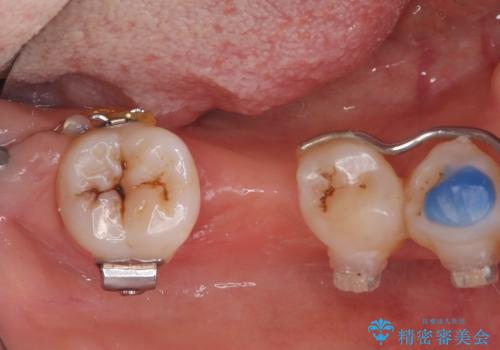
右下小臼歯は歯周病で大きな骨欠損を認めていました。
できる限り歯が保存できるように治療したいとのことでエムドゲインを用いた再生治療を行っています。
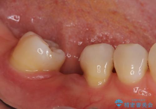
欠損歯に関しては、奥歯をアップライトさせてインプラント埋入予定です。
- 費用(概算)
- 15万円費用は治療当時の料金となります
治療について
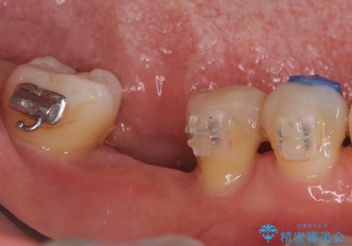
歯周病の原因に咬合干渉が疑われる為、ワイヤーにて固定を行っています。
歯周病治療の注意事項(リスク・副作用など)
- 外科手術のため、術後に痛みや腫れ、違和感を伴います
- 歯周組織再生治療は患者様の状態によって術後の経過が異なります(見た目が改善しない場合もあります)
- 歯周組織再生治療は自費診療(保険適用外)となります
当サイトの内容、テキスト、画像等の無断転載、複製、複写、盗用を固く禁じます。













