症例詳細
Case detail
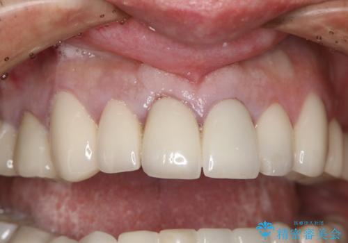
抜歯後早期インプラント埋入で術直後から噛める仮歯が入る!
治療症例の内容
- 診療科目
- 担当医
- 今村大二郎(ドクタープロフィール)
- 患者様
- 30代 男性
- 治療期間
- 1日
- 治療回数
- 2-5回
- 治療計画
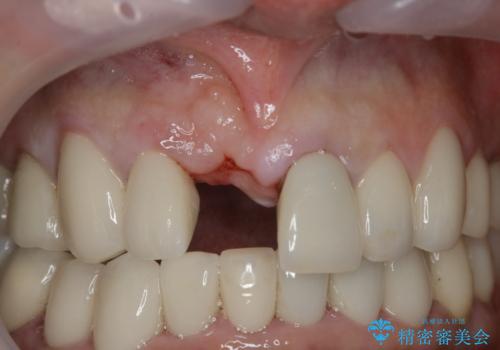
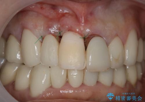
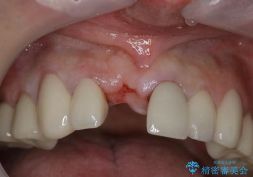
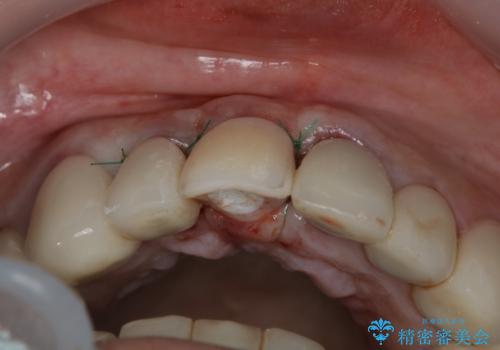
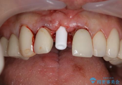
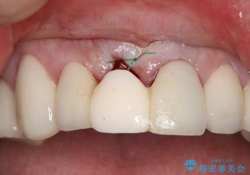
- 事故による外傷で前歯に歯根が真っ二つに折れてしまい、保存不可能となってしまった部分にインプラント治療を計画しました。
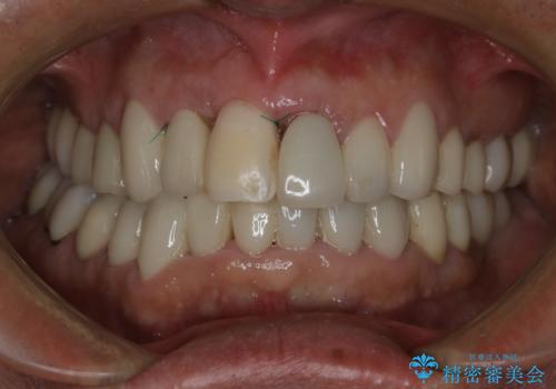
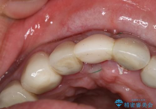
患者様のご要望もあり、審美性の確保ができる抜歯早期埋入→埋入後即時荷重という手術法を取りました。
費用面では通常埋入と比べ若干高価にはなりますが、手術後のストレスがかなり軽減されトータルで患者様にとってメリットの多い治療法であるといえると思います。
- 費用(概算)
- 税込¥341,000- (インプラント本体+仮歯用土台+仮歯+早期埋入,即時荷重技術料)費用は治療当時の料金となります
抜歯即時(早期)埋入と即時荷重について
近年、インプラントの素材や手術法の研究が進み、保存不可能となった歯牙に対して抜歯してすぐインプラントを埋入し、さらに直後から仮歯がを入れ噛むことができる【抜歯即時埋入】【即時荷重】という技法が確立されました。
従来、前歯部分のインプラントでは周囲に残っている自身の歯に仮歯を張り付けることで審美性を保ってきましたが、脱離を繰り返したり食事に耐える強度を保つのが難しいという側面がありました。
それと比較すると、今回の方法では骨にしっかりと固定されているインプラントに単独で仮歯を装着することができるためフロスも通せますし、ある程度負荷のかかる食事も気にせずできるようになります。
インプラント治療の注意事項(リスク・副作用など)
- 外科手術のため、術後に痛みや腫れ、違和感を伴います
- メンテナンスを怠ったり喫煙により、お口の中に大きな悪影響を及ぼすインプラント周囲炎等にかかる可能性があります
- 糖尿病、肝硬変、心臓病等の場合、インプラント治療ができない可能性があります
- 高血圧、貧血・不整脈等の場合、インプラント治療後に治癒不全を招く可能性があります
- 自費診療(保険適用外治療)となります
当サイトの内容、テキスト、画像等の無断転載、複製、複写、盗用を固く禁じます。




















