症例詳細
Case detail
大臼歯 大きな虫歯をセラミックインレーに
治療症例の内容
- 診療科目
- 治療カテゴリ
- 担当医
- 今村大二郎(ドクタープロフィール)
- 患者様
- 30代 女性
- 治療期間
- 1ヶ月
- 治療回数
- 2-5回
- 治療計画
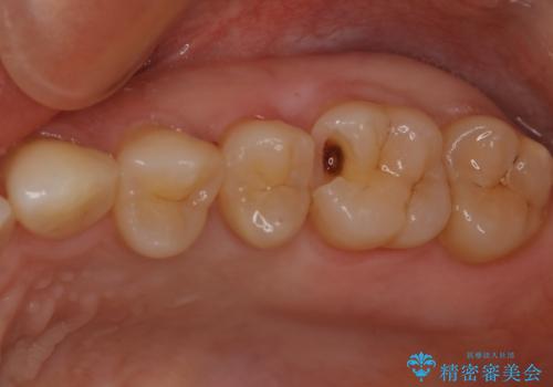
- 歯が黒くなってきているのが気になるとのことで、レントゲンを撮影し診断を行いました。
幸い神経までは到達していない虫歯だったため、部分的な詰め物「インレー」で治療を行うこととなりました。
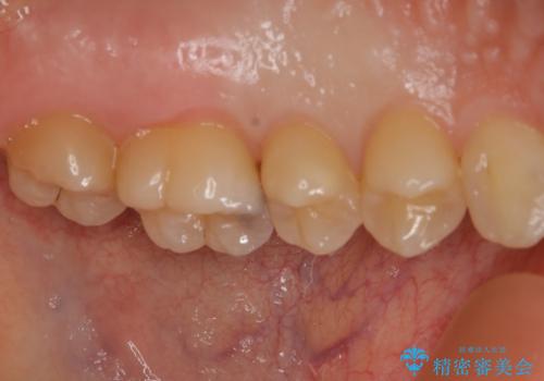
セラミックインレーは変色がなく耐摩耗性にも優れるため、長期的に良好な予後が見込める治療です。
- 費用(概算)
- 税込¥77,000-費用は治療当時の料金となります
セラミックインレー
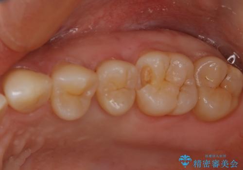
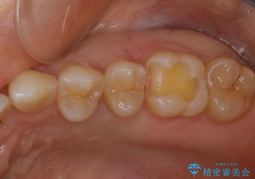
歯の一部が虫歯になってしまった場合の治療法のひとつにインレーがあります。
虫歯になってしまった部分を含めて詰め物用に形を削り整え、型取りをし、出来上がってきた技工物をセメントで接着します。
自費治療では強度・色調・耐久性に優れたセラミックを使用した治療を選択する方が多いです。
セラミック治療の注意事項(リスク・副作用など)
- 天然歯を削ります
- 硬い素材は天然歯を傷つけてしまう場合があります
- かみ合わせや歯ぎしりが強すぎる方はセラミックが割れてしまう可能性があります
- 自費診療(保険適用外治療)となります
当サイトの内容、テキスト、画像等の無断転載、複製、複写、盗用を固く禁じます。












