症例詳細
Case detail
【非抜歯】上下の前歯が噛み合わないオープンバイトの治療
治療症例の内容
- 診療科目
- 担当医
- 今村大二郎(ドクタープロフィール)
- 患者様
- 20代 女性
- 矯正装置
- マウスピース(インビザライン)
- 治療期間
- 1年2ヶ月
- 治療回数
- 5-10回
- 治療計画
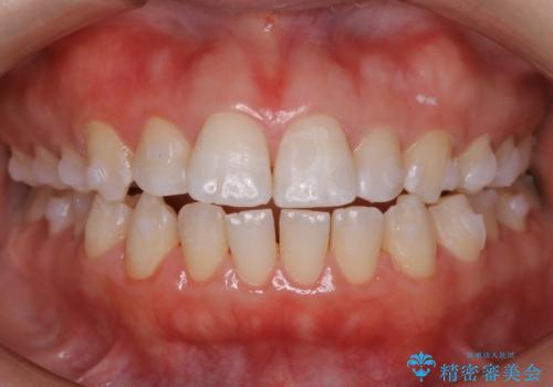
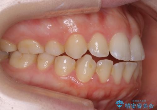
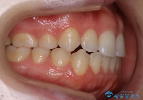
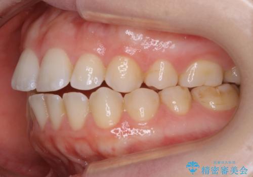
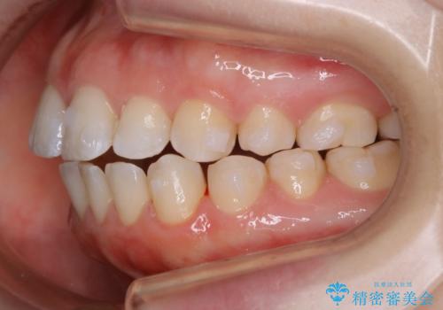
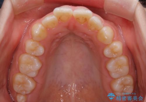
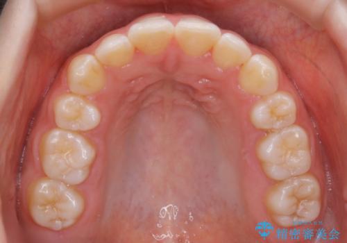
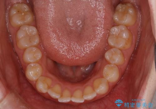
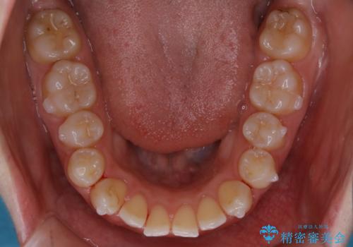
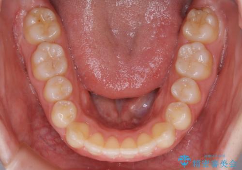
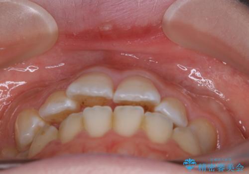
- 噛み合わせの不調を主訴にご来院されました。
骨格的な問題もあり、噛んだ時に奥歯しか当たらず前歯の被蓋があまりない状態でした。
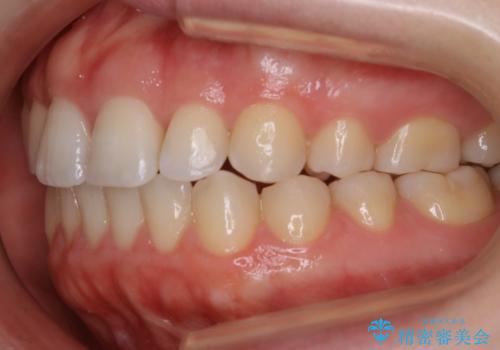
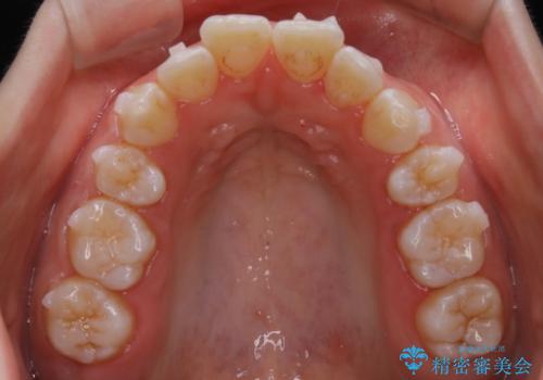
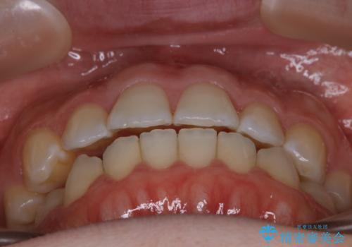
奥歯を沈めて噛み込みを深くしていくことで被害の改善が起こるとともに、下顎自体が前上方に回転移動することで顔貌的にも変化を出すことができます。
- 費用(概算)
- 税込¥495,000- (インビザライン ライトパッケージ)費用は治療当時の料金となります
オープンバイトとは
臼歯の位置が高く噛んだ時に奥歯しか当たらなかったり、舌癖などが原因で前歯が前に倒れてしまうことで上下の前歯の被蓋がなくなってしまっている状態をオープンバイトといいます。
前者の場合は臼歯を圧下し沈めてあげることで改善させます。後者の場合は前方に傾斜している歯を元の角度に戻してあげることで改善しますが、舌癖がある場合はその癖自体を無くす治療をしない限りまた同じ状態へと後戻りしてしまいます。
マウスピース矯正の注意事項(リスク・副作用など)
- 口腔内・歯並びの状態によっては対応できない場合があります
- マウスピース型矯正装置の長時間装着(1日20時間以上)が必須です
- 治療計画通りに進めるためには、患者様の意志が重要になります
- 矯正治療後の保定が不十分だと後戻り(元の位置に戻ろうとする動き)をします
- 薬機法対象外の矯正歯科装置のため医薬品副作用被害救済制度の対象外となる場合があります
- 自費診療(保険適用外)となります
当サイトの内容、テキスト、画像等の無断転載、複製、複写、盗用を固く禁じます。


















