症例詳細
Case detail
奥歯を白くしたい
治療症例の内容
- 診療科目
- 治療カテゴリ
- 担当医
- 小澤俊哉(ドクタープロフィール)
- 患者様
- 40代女性
- 治療期間
- 1ヶ月
- 治療回数
- 2-5回
- 治療計画
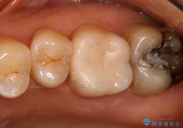
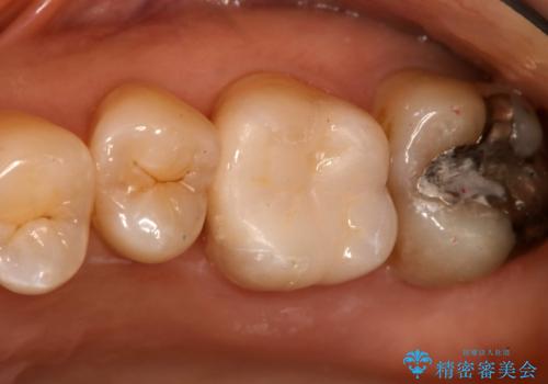
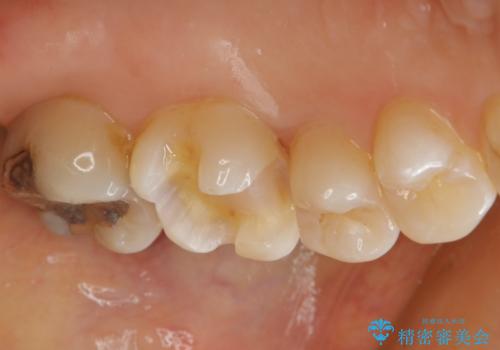
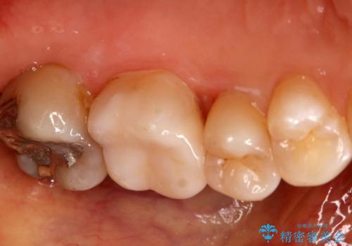
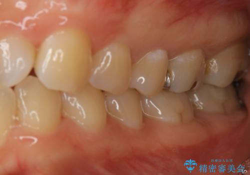
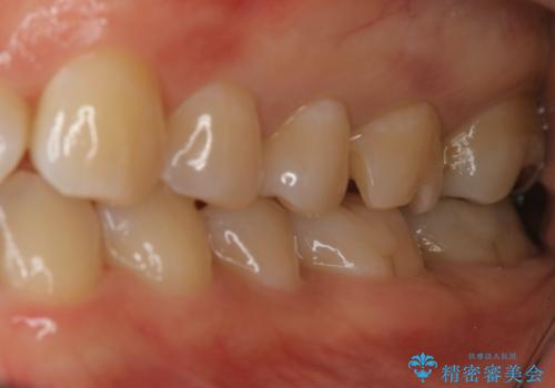
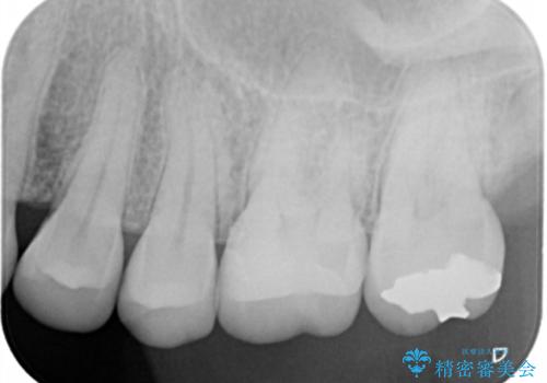
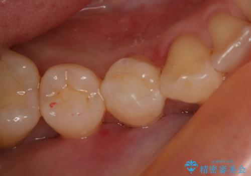
- 左上6番の銀歯をセラミックにしたいと希望され来院された患者様です。
 切削量を考慮し、セラミックインレーを選択しました。
- 費用(概算)
- 77000円費用は治療当時の料金となります
治療について
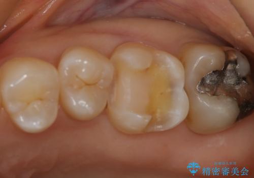
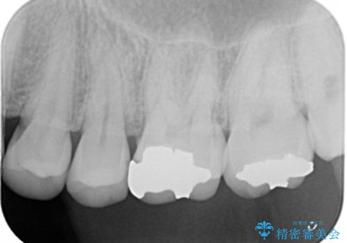
銀歯を除去したところ虫歯が深かったので、CRを詰めた上で形態を整えています。
セラミック治療の注意事項(リスク・副作用など)
- 天然歯を削ります
- 硬い素材は天然歯を傷つけてしまう場合があります
- かみ合わせや歯ぎしりが強すぎる方はセラミックが割れてしまう可能性があります
- 自費診療(保険適用外治療)となります
当サイトの内容、テキスト、画像等の無断転載、複製、複写、盗用を固く禁じます。








 
                       
                                                          










 
                   
                   
                  