症例詳細
Case detail
スポーツ用マウスガードを作りたい
治療症例の内容
- 診療科目
- 担当医
- 岡田康成(ドクタープロフィール)
- 患者様
- 10代男性
- 治療期間
- 1ヶ月
- 治療回数
- 2-5回
- 治療計画
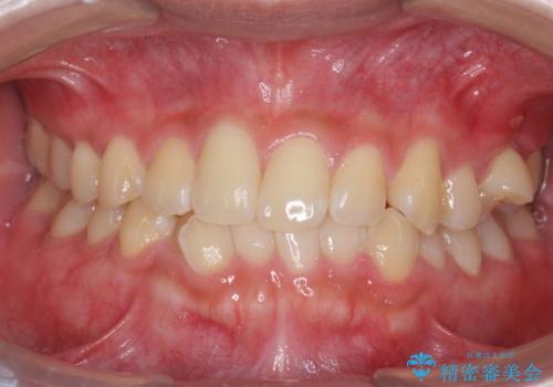
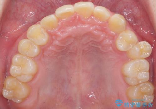
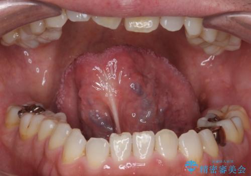
- コンタクトスポーツをするためマウスガードを作りたいとのことで来院された患者様です。
- 費用(概算)
- スポーツ用マウスガード 28,600円(税込み)費用は治療当時の料金となります
治療について
色とマウスガードのタイプをお選びいただけます。
その他の注意事項(リスク・副作用など)
- 担当歯科医師、歯科衛生士又は医院スタッフから受けた説明・注意事項をよくご確認ください
- 医療を提供するに当たり、適切な説明を行い、患者様の十分な理解を得るよう努めております
当サイトの内容、テキスト、画像等の無断転載、複製、複写、盗用を固く禁じます。





