症例詳細
Case detail
インプラントで回復!奥歯の咬合機能
治療症例の内容
- 診療科目
- 治療カテゴリ
- 担当医
- 大元洋佑(ドクタープロフィール)
- 患者様
- 50代女性
- 治療期間
- 8ヶ月
- 治療回数
- 10-30回
- 治療計画
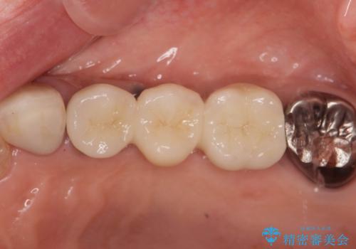
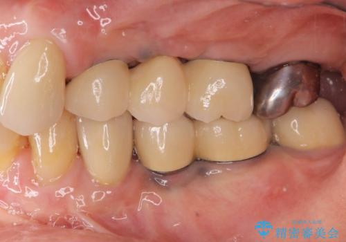
- 歯のないまま放置していた左上奥歯の咬合機能回復を求めて来院されました
咬合力が強く、入れ歯では周囲の歯も欠損状態になることが予想されたので、しっかりと咬合機能の回復のできる
インプラント治療を行うこととしました。
- 費用(概算)
- 110万円(インプラント×2・チタンカスタムアバットメント×2・ジルコニアクラウン×3・仮歯×3)費用は治療当時の料金となります
治療について
インプラント2本で3本分の咬合機能を回復することができました。(インプラントブリッジ治療)
インプラント治療の注意事項(リスク・副作用など)
- 外科手術のため、術後に痛みや腫れ、違和感を伴います
- メンテナンスを怠ったり喫煙により、お口の中に大きな悪影響を及ぼすインプラント周囲炎等にかかる可能性があります
- 糖尿病、肝硬変、心臓病等の場合、インプラント治療ができない可能性があります
- 高血圧、貧血・不整脈等の場合、インプラント治療後に治癒不全を招く可能性があります
- 自費診療(保険適用外治療)となります
当サイトの内容、テキスト、画像等の無断転載、複製、複写、盗用を固く禁じます。













