症例詳細
Case detail
汚れを落としてピカピカの歯へ!!
治療症例の内容
- 診療科目
- 治療カテゴリ
- 患者様
- 20代男性
- 治療期間
- 1日
- 治療回数
- 1回
- 治療計画
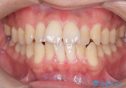
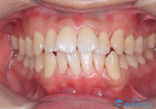
- クリーニングしてほしいとのことで来院され、エアフローを行いました。
- 費用(概算)
- エアフロー 7700円費用は治療当時の料金となります
治療について
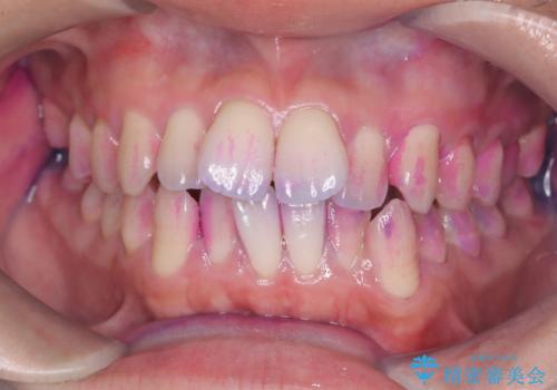
染め出しを行うことで磨き残しが目に見えてわかり、患者様のモチベーションアップにも繋がります。
キレイに着色も落ちて大変満足していただけました。
担当歯科衛生士 三重野
PMTCの注意事項(リスク・副作用など)
- 歯を白くする目的の施術ではありません
- 保険適用外となります
当サイトの内容、テキスト、画像等の無断転載、複製、複写、盗用を固く禁じます。



