症例詳細
Case detail
詰め物の治療。
治療症例の内容
- 診療科目
- 治療カテゴリ
- 担当医
- 青山卓弘(ドクタープロフィール)
- 患者様
- 30代男性
- 治療期間
- 1ヶ月
- 治療回数
- 2-5回
- 治療計画
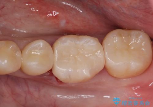
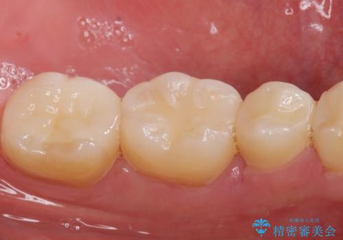
- メンテナンスの患者様です。歯間ブラシをすると染みるとの事で精査したところ歯と歯の間に虫歯が見られました。
拡大鏡下で虫歯を取り除きe-maxインレー治療を行いました。
- 費用(概算)
- e-maxインレー 7.7万費用は治療当時の料金となります
治療について
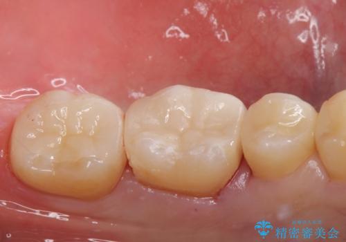
適合の良い詰め物が入りました。
その他の注意事項(リスク・副作用など)
- 担当歯科医師、歯科衛生士又は医院スタッフから受けた説明・注意事項をよくご確認ください
- 医療を提供するに当たり、適切な説明を行い、患者様の十分な理解を得るよう努めております
セラミック治療の注意事項(リスク・副作用など)
- 天然歯を削ります
- 硬い素材は天然歯を傷つけてしまう場合があります
- かみ合わせや歯ぎしりが強すぎる方はセラミックが割れてしまう可能性があります
- 自費診療(保険適用外治療)となります
当サイトの内容、テキスト、画像等の無断転載、複製、複写、盗用を固く禁じます。






