症例詳細
Case detail
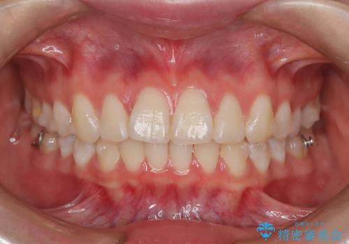
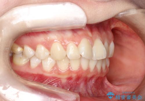
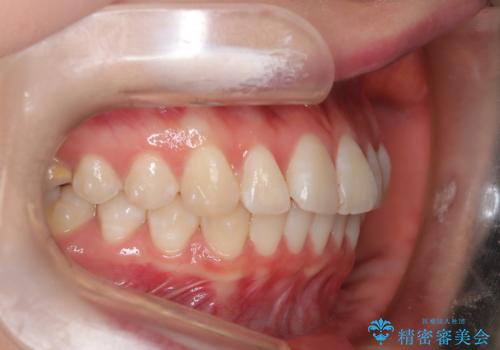
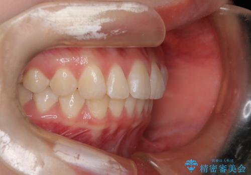
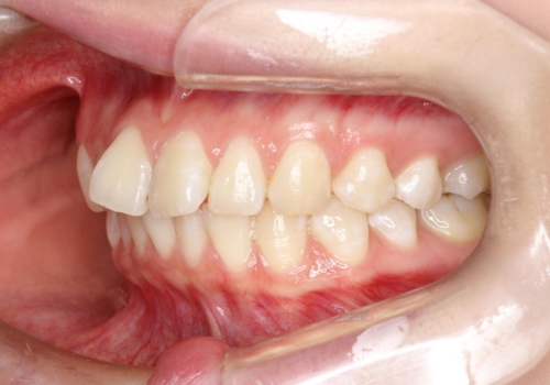
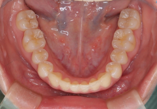
前歯のガタつきを治したい 翼状捻転マウスピース矯正
治療症例の内容
- 診療科目
- 担当医
- 高悠莉(ドクタープロフィール)
- 患者様
- 20代女性
- 治療期間
- 1年6ヶ月
- 治療回数
- 5-10回
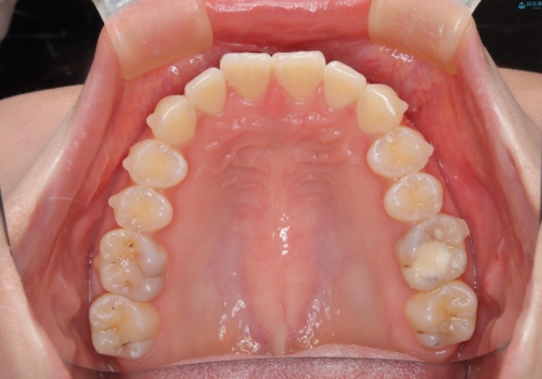
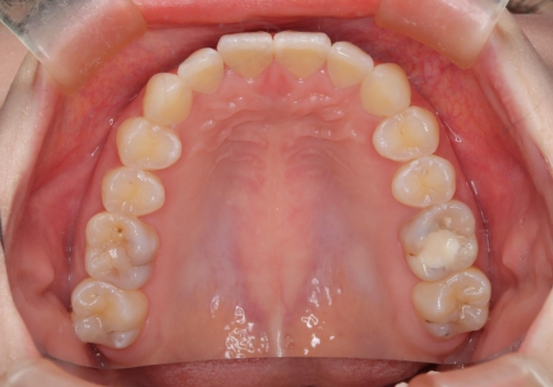
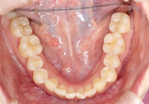
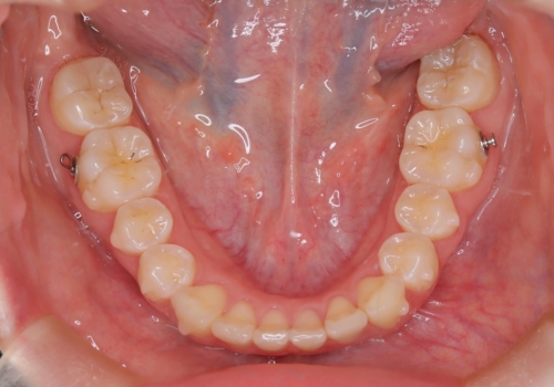
- 治療計画
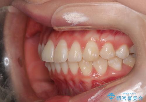
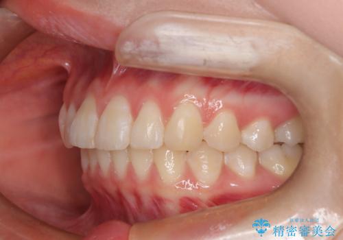
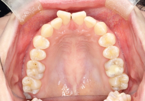
- 上顎前歯の突出、がたつき(翼状捻転)を主訴に来院されました。当院では総合歯科医療が可能であるため、矯正前処置として虫歯治療・歯周治療、親知らず抜歯を施行しました。その後、非抜歯かつ口元が出ないようなマウスピース治療を行いました。仕事柄、1日の装着時間が短くなってしまう時期もありましたが、患者様と相談しながら問題なく終了しています。
- 費用(概算)
- 675,000円(税込)費用は治療当時の料金となります
マウスピース装着時間について
基本的に1日20時間、1週間に1枚ペースでご自身で交換し使用していただきます。会食等により1日の装着時間が短くなってしまうような場合は、1枚当たりのマウスピース使用日数を延ばすように指示をしております。
マウスピース矯正の注意事項(リスク・副作用など)
- 口腔内・歯並びの状態によっては対応できない場合があります
- マウスピース型矯正装置の長時間装着(1日20時間以上)が必須です
- 治療計画通りに進めるためには、患者様の意志が重要になります
- 矯正治療後の保定が不十分だと後戻り(元の位置に戻ろうとする動き)をします
- 薬機法対象外の矯正歯科装置のため医薬品副作用被害救済制度の対象外となる場合があります
- 自費診療(保険適用外)となります
当サイトの内容、テキスト、画像等の無断転載、複製、複写、盗用を固く禁じます。















