症例詳細
Case detail
【セラミックインレー】口の中を白くしたい
治療症例の内容
- 診療科目
- 治療カテゴリ
- 担当医
- 町田睦月(ドクタープロフィール)
- 患者様
- 40代女性
- 治療期間
- 1ヶ月
- 治療回数
- 2-5回
- 治療計画
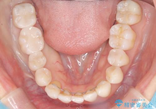
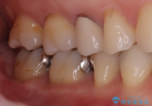
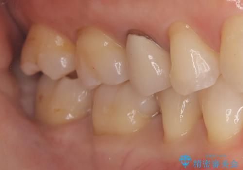
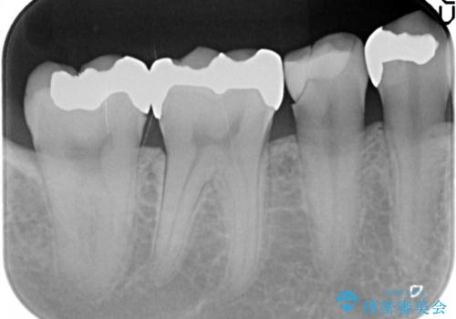
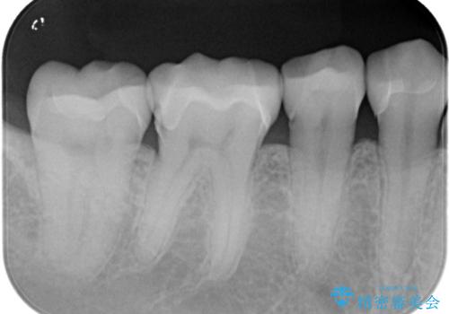
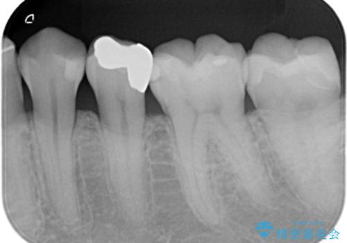
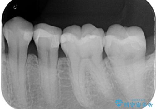
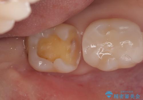
- 主訴:下の歯に入っている銀歯が笑うと目立つので白くしたい。
下顎臼歯部に入っている保険適用のメタルインレー(4箇所)を、審美性・適合性・清掃性の良いセラミックインレーにてやり替えました。
- 費用(概算)
- 277,200円(税込) 費用は治療当時の料金となります
※顔写真掲載にあたり、患者様の了解を得ております
治療について
メタルフリーモニタ-(10%Off)適応
セラミック治療の注意事項(リスク・副作用など)
- 天然歯を削ります
- 硬い素材は天然歯を傷つけてしまう場合があります
- かみ合わせや歯ぎしりが強すぎる方はセラミックが割れてしまう可能性があります
- 自費診療(保険適用外治療)となります
当サイトの内容、テキスト、画像等の無断転載、複製、複写、盗用を固く禁じます。











