症例詳細
Case detail
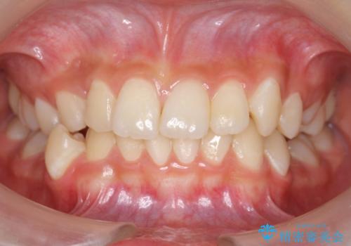
前歯のがたがた 出っ歯
治療症例の内容
- 診療科目
- 治療カテゴリ
- 担当医
- 井上季実子(ドクタープロフィール)
- 患者様
- 10代男性
- 治療期間
- 1年2ヶ月
- 治療回数
- 10-30回
- 治療計画
- 前歯のでこぼこを主訴に来院。
上顎に叢生があったため、上顎小臼歯を2本抜歯し矯正用インプラントを植立しました。
装置は前歯の部分にプラスチックブラケットを使用しています。
- 費用(概算)
- 85万円費用は治療当時の料金となります
治療について
前歯部に早期接触があり、下顎が前方にシフトしていました。
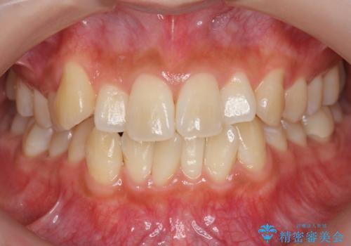
前歯部の反対咬合は解消され、抜歯したすき間も閉じ、臼歯関係もしっかり治療しています。
マルチブラケット装置撤去時に矯正用インプラントも撤去しています。写真にある傷跡はこの後治りますので、ほとんど目立ちません。
治療後の感想
しっかり治療の説明があり、行ったらすぐできて待ち時間も少ないし、予約の日付を変更しても迅速に対応していただいて、とても歯並びがきれいになりました。ありがとうございました。
ワイヤー矯正の注意事項(リスク・副作用など)
- 治療中は違和感や痛みが起こることがあります
- 症状により、抜歯が必要な場合があります
- 治療中は歯磨きがしにくくなるため、虫歯や歯周病になりやすくなります
- 矯正治療後の保定が不十分だと後戻り(元の位置に戻ろうとする動き)をします
- 自費診療(保険適用外)となります
当サイトの内容、テキスト、画像等の無断転載、複製、複写、盗用を固く禁じます。





















