症例詳細
Case detail
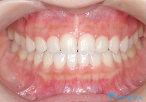
【ダイレクトボンディング】歯を削らずに綺麗にしたい。
治療症例の内容
- 担当医
- 河口智英(ドクタープロフィール)
- 患者様
- 20代女性
- 治療期間
- 治療回数
- 1回
- 治療計画
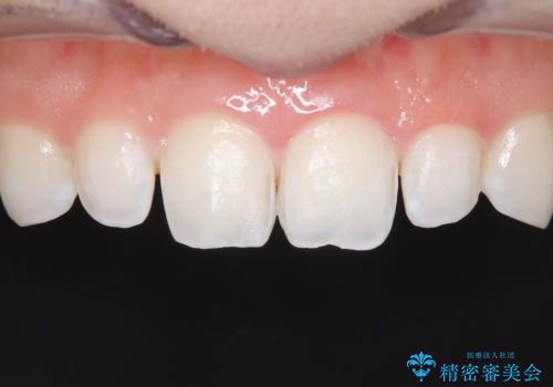
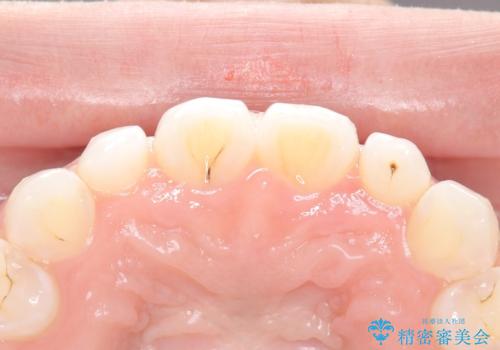
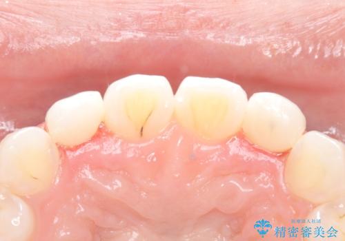
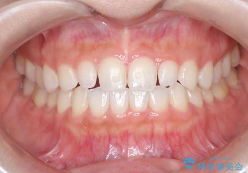
- 矯正治療終了後、矮小歯の修復を希望された患者様です。
治療選択肢として、セラミッククラウン、ラミネートベニア、ダイレクトボンディングを提示したところなるべく歯を削りたくないとのことでダイレクトボンディングにて治療を行いました。
- 費用(概算)
- 7万円費用は治療当時の料金となります
治療について
デメリットとして経年劣化が起こることによる変色リスク及びセラミックに比べ汚れがつきやすいことが挙げられます。
その他の注意事項(リスク・副作用など)
- 担当歯科医師、歯科衛生士又は医院スタッフから受けた説明・注意事項をよくご確認ください
- 医療を提供するに当たり、適切な説明を行い、患者様の十分な理解を得るよう努めております
当サイトの内容、テキスト、画像等の無断転載、複製、複写、盗用を固く禁じます。








