症例詳細
Case detail
セラミック1day治療
治療症例の内容
- 診療科目
- 治療カテゴリ
- 担当医
- 高悠莉(ドクタープロフィール)
- 患者様
- 40代男性
- 治療期間
- 治療回数
- 1回
- 治療計画
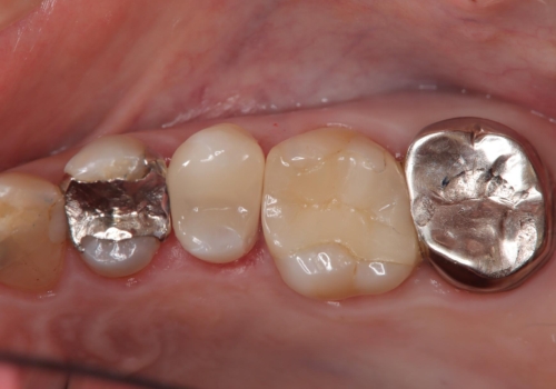
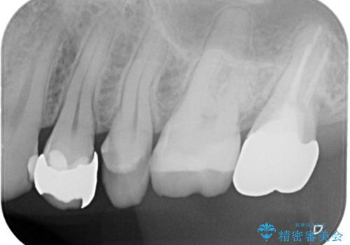
- 金属の詰め物が外れた状態で長期間過ごされた患者様が、歯を治したいとのことで来院されました。良好な長期予後が期待でき、歯質をできるだけ残せるセラミック治療を即日で行いました。
治療途中で虫歯も綺麗に除去しています。術後経過良好で、患者様も満足されています。他にも治療が必要な虫歯がありますので、順を追って治療する予定です。
- 費用(概算)
- 165,000円(税込)費用は治療当時の料金となります
今回使用した材料について
今回の治療では、MarkⅡというセラミックのブロックを削り出して使用しています。従来からある、手で築盛して製作するタイプの修復物には気泡が発生しやすいのですが、これは歯に力がかかった際に破断点となりインレーが割れてしまう一因となります。MarkⅡブロックには気泡がありませんので、割れてしまうリスクを減らすことができます。
セラミック治療の注意事項(リスク・副作用など)
- 天然歯を削ります
- 硬い素材は天然歯を傷つけてしまう場合があります
- かみ合わせや歯ぎしりが強すぎる方はセラミックが割れてしまう可能性があります
- 自費診療(保険適用外治療)となります
当サイトの内容、テキスト、画像等の無断転載、複製、複写、盗用を固く禁じます。






