症例詳細
Case detail
できるだけ歯質を残した1day治療 セラミックインレー
治療症例の内容
- 診療科目
- 治療カテゴリ
- 担当医
- 高悠莉(ドクタープロフィール)
- 患者様
- 40代男性
- 治療期間
- 1日
- 治療回数
- 1回
- 治療計画
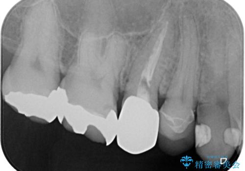
- 歯の詰め物が外れ、そのままにしていたのを治したいとのことで来院されました。残った歯質の量が少なく、できるだけ歯を残すために仮詰め期間の必要が無い1dayのセラミック治療を行いました。術後も経過良好です。処置においては虫歯も綺麗に除去しています。
- 費用(概算)
- 165,000円(税込)費用は治療当時の料金となります
1day治療のメリット
1day治療は、仮詰めが不必要です。そのため、仮詰め期間中の残存歯質が欠けてしまうこともありません。また、口腔内の温度変化は食事等により50度近くあるといわれていますが、この間に仮詰めの材料は収縮・膨張を繰り返します。そこで生まれた隙間に汚れが入りこみ、これが接着力の低下やセット後の歯髄不快症状の原因となる可能性があります。1day治療にすることで、こうした因子を回避し歯の寿命を長くすることができます。
セラミック治療の注意事項(リスク・副作用など)
- 天然歯を削ります
- 硬い素材は天然歯を傷つけてしまう場合があります
- かみ合わせや歯ぎしりが強すぎる方はセラミックが割れてしまう可能性があります
- 自費診療(保険適用外治療)となります
当サイトの内容、テキスト、画像等の無断転載、複製、複写、盗用を固く禁じます。









