症例詳細
Case detail
骨の造成を伴う奥歯のインプラント治療
治療症例の内容
- 診療科目
- 治療カテゴリ
- 担当医
- 大元洋佑(ドクタープロフィール)
- 患者様
- 50代男性
- 治療期間
- 8ヶ月
- 治療回数
- 5-10回
- 治療計画
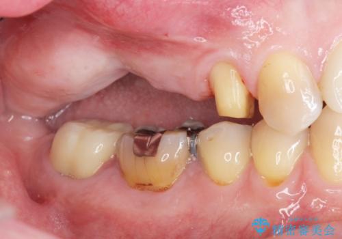
- 破折した歯を放置し、骨が高度に吸収した状態でインプラント治療を希望し来院されました。
インプラントを適切な位置に埋入し仕上げた後にも清掃性を高めるには、必要十分な骨となだらかな歯肉形態の獲得が必要です。
インプラント埋入時に骨の造成を、2次手術時に歯肉の凹みを整え厚みを一定にするような治療を進めていきます。
- 費用(概算)
- 106.7万円 (インプラント×2 アバットメント×2 ジルコニアクラウン×3 骨造成 )費用は治療当時の料金となります
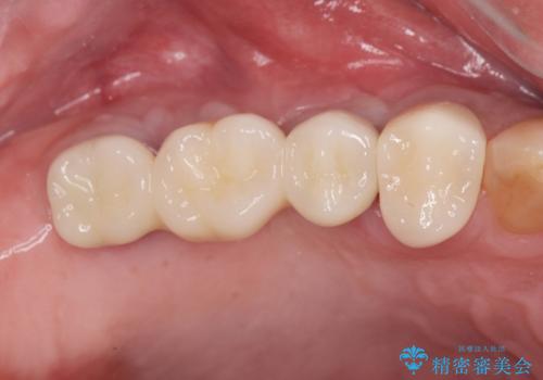
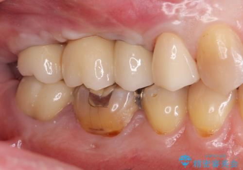
治療について
骨の造成、歯肉を整えたことで、術前山形にえぐれていた歯肉形の態はなだらかになり清掃しやすい状態へと整備することができました。
インプラント治療の注意事項(リスク・副作用など)
- 外科手術のため、術後に痛みや腫れ、違和感を伴います
- メンテナンスを怠ったり喫煙により、お口の中に大きな悪影響を及ぼすインプラント周囲炎等にかかる可能性があります
- 糖尿病、肝硬変、心臓病等の場合、インプラント治療ができない可能性があります
- 高血圧、貧血・不整脈等の場合、インプラント治療後に治癒不全を招く可能性があります
- 自費診療(保険適用外治療)となります
当サイトの内容、テキスト、画像等の無断転載、複製、複写、盗用を固く禁じます。























