症例詳細
Case detail
虫歯を治したい。ゴールドアンレーでの治療
治療症例の内容
- 診療科目
- 治療カテゴリ
- 担当医
- 岡田康成(ドクタープロフィール)
- 患者様
- 50代女性
- 治療期間
- 1ヶ月
- 治療回数
- 2-5回
- 治療計画
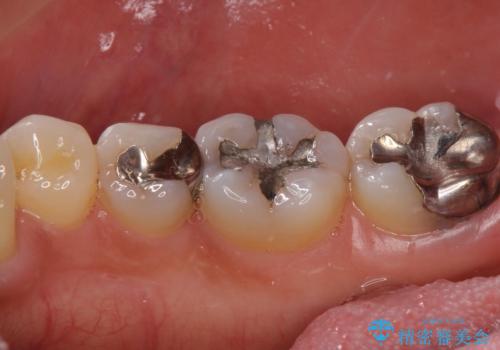
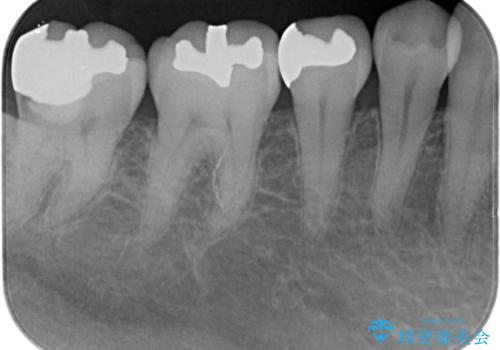
- 右下奥歯が気になるとのことで来院された患者様です。
銀の詰め物の適合が悪く、歯と銀歯の間に歯茎が入り込んできている状態でした。
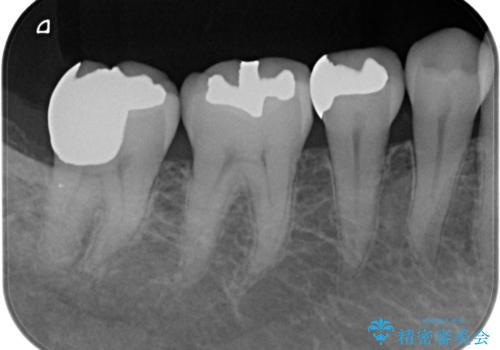
銀歯を除去し、適合の良いゴールドアンレーで修復していきます。
- 費用(概算)
- 右下7 : ゴールドアンレー / 110,000円費用は治療当時の料金となります
治療について
奥歯の深い場所に二次う蝕が確認されました。
歯肉を整理し、今後同じことを繰り返さないよう精度の良いゴールドアンレーで修復処置を行いました。
PGA(ゴールド)クラウン、インレーの注意事項(リスク・副作用など)
- インレーおよびクラウンは脱離するリスクがあります
- 形成量はセラミックより少ないですが、歯の形成、修復後に歯に症状が出ることがあります
- 自費診療(保険適用外治療)となります
当サイトの内容、テキスト、画像等の無断転載、複製、複写、盗用を固く禁じます。











