症例詳細
Case detail
奥歯が痛む ブリッジによる治療
治療症例の内容
- 診療科目
- 治療カテゴリ
- 担当医
- 岡田康成(ドクタープロフィール)
- 患者様
- 50代男性
- 治療期間
- 6ヶ月
- 治療回数
- 5-10回
- 治療計画
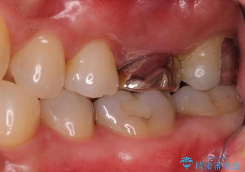
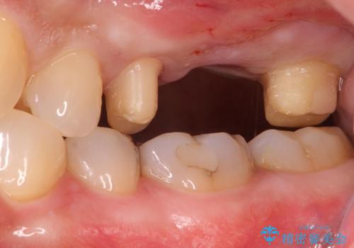
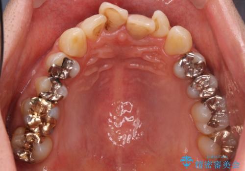
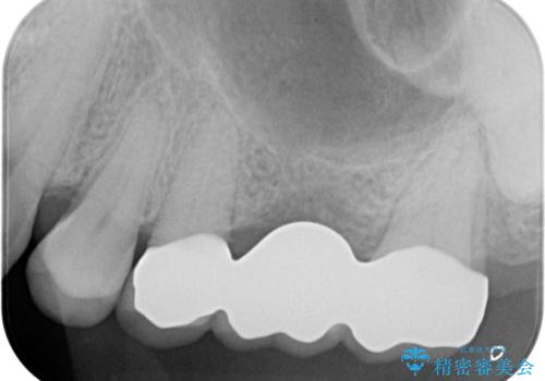
- 左上の奥歯を何とか保存していた患者様です。
今回、残していた歯根から歯茎が大きく腫れ、長期的な予後を期待できないことを考慮し、抜歯してブリッジでの治療を行いました。
- 費用(概算)
- 左上567:仮歯11,000円×3本、ジルコニアクラウン(スタンダード):121,000円×3本 合計396,000円費用は治療当時の料金となります
治療について
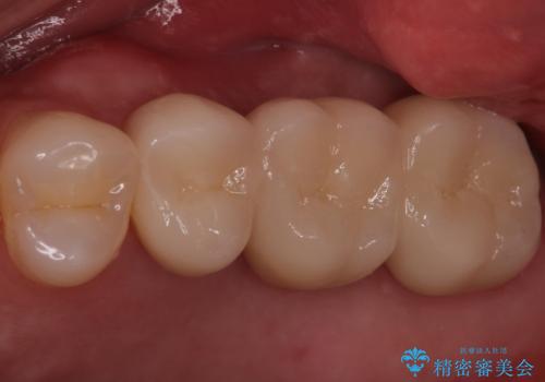
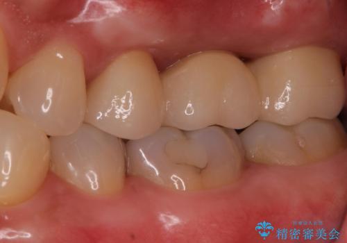
ブリッジでの修復は、抜歯後に歯がなくて噛みにくい期間が一切ありません。
歯茎の状態も良く、適合の良いブリッジを装着することができました。
セラミック治療の注意事項(リスク・副作用など)
- 天然歯を削ります
- 硬い素材は天然歯を傷つけてしまう場合があります
- かみ合わせや歯ぎしりが強すぎる方はセラミックが割れてしまう可能性があります
- 自費診療(保険適用外治療)となります
当サイトの内容、テキスト、画像等の無断転載、複製、複写、盗用を固く禁じます。















