症例詳細
Case detail
親知らず、過剰歯抜歯の抜歯
治療症例の内容
- 診療科目
- 治療カテゴリ
- 担当医
- 青山卓弘(ドクタープロフィール)
- 患者様
- 20代男性
- 治療期間
- 1ヶ月
- 治療回数
- 1回
- 治療計画
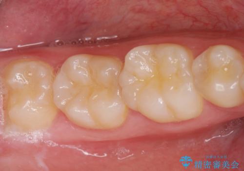
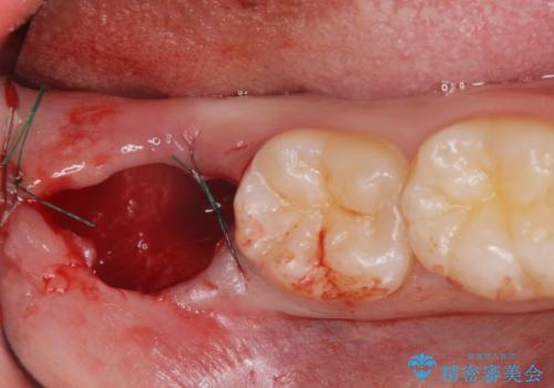
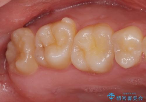
- 矯正前の患者様です。レントゲンを確認したところ右上の親知らずの他に過剰歯もありました。
なので右上下親知らず、右上過剰歯の抜歯を行いました。
- 費用(概算)
- 保険適応費用は治療当時の料金となります
治療について
親知らずは歯ブラシで磨きにくい場所であり、放置すると虫歯になるリスクが高いはになります。手術は一日で終わります。
外科処置の注意事項(リスク・副作用など)
- 外科手術のため、術後に出血、痛みや腫れ、違和感を伴います
- 口腔内の状態によっては適応できないことがあります
保険治療の注意事項(リスク・副作用など)
- 保険医が保険医療機関において健康保険法、医師法、医療法等の各種関係法令の規定を遵守し、『療養担当規則』の規定を遵守し、医学的に妥当適切な診療を行い、診療報酬点数表に定められたとおりに請求を行っています
- 使用する材料・素材や治療方法に制約があります
- 健康保険適用となります
その他の注意事項(リスク・副作用など)
- 担当歯科医師、歯科衛生士又は医院スタッフから受けた説明・注意事項をよくご確認ください
- 医療を提供するに当たり、適切な説明を行い、患者様の十分な理解を得るよう努めております
当サイトの内容、テキスト、画像等の無断転載、複製、複写、盗用を固く禁じます。











