症例詳細
Case detail
歯根が露出している歯の歯肉移植 根面被覆術
治療症例の内容
- 診療科目
- 治療カテゴリ
- 担当医
- 藤巻太一朗(ドクタープロフィール)
- 患者様
- 30代女性
- 治療期間
- 4ヶ月
- 治療回数
- 2-5回
- 治療計画
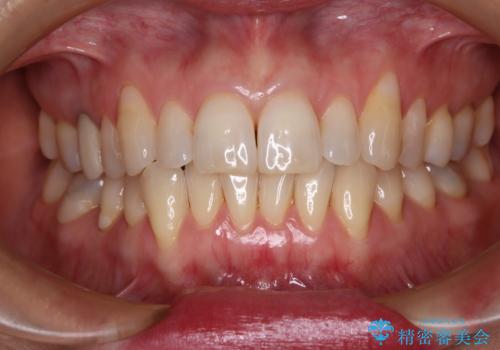
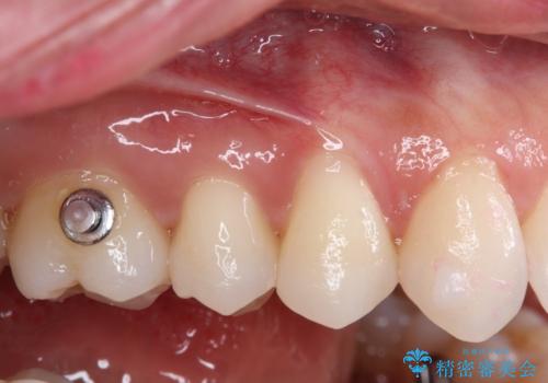
- 上顎左右犬歯が長く見えてしまうことを気にされて来院された患者様です。
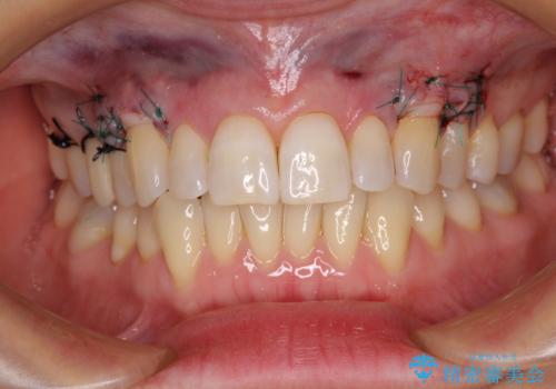
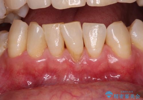
歯肉が非常に薄く、歯肉退縮を起こしていたため、口蓋(上顎の内側)から採取した結合組織(歯肉の内側の組織)を移植することによる、根面被覆術を行うこととしました。
歯根が露出した際に知覚過敏症状が強く発現したようで、樹脂による修復がされている状態でした。
樹脂による修復がある場合、根面被覆が達成されない可能性があることをお伝えした上で、歯肉が厚くなることで今後の退縮リスクを軽減することを目的に治療を行うこととしました。
- 費用(概算)
- 治療費の目安: 16万円(税込)費用は治療当時の料金となります
治療について
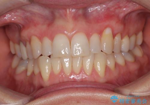
右側は十分な根面被覆が達成されましたが、左側は樹脂による修復の影響か、思うような被覆が達成されませんでした。
しかしながら、十分な厚みを獲得することができ、患者様には大変満足していただけました。
外科処置の注意事項(リスク・副作用など)
- 外科手術のため、術後に出血、痛みや腫れ、違和感を伴います
- 口腔内の状態によっては適応できないことがあります
当サイトの内容、テキスト、画像等の無断転載、複製、複写、盗用を固く禁じます。





