症例詳細
Case detail
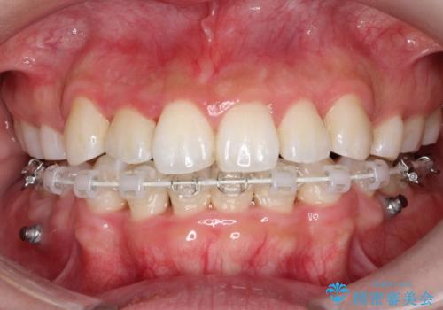
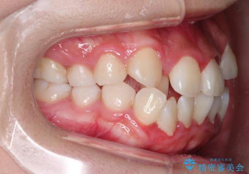
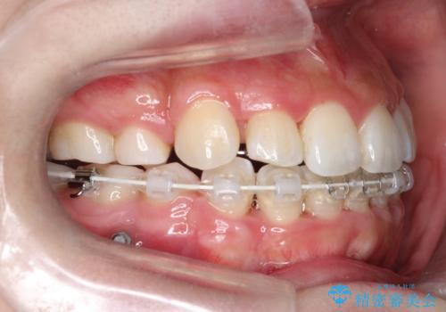
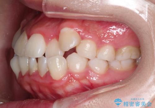
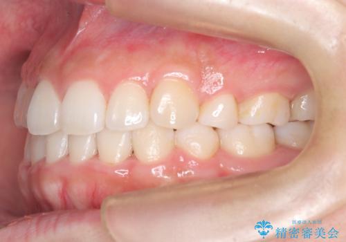
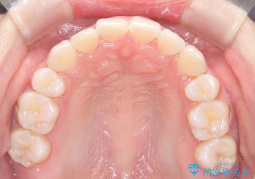
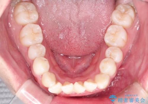
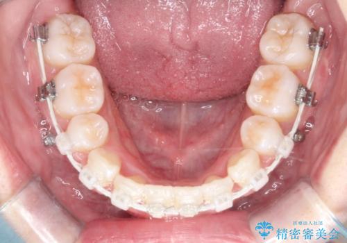
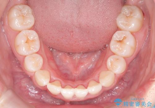
八重歯を改善!美しい口元を実現するハーフリンガル矯正
治療症例の内容
- 診療科目
- 担当医
- 患者様
- 20代女性
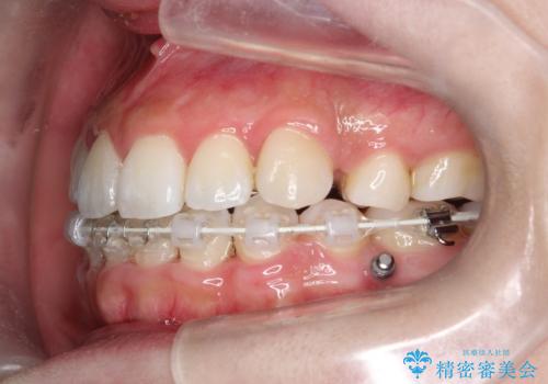
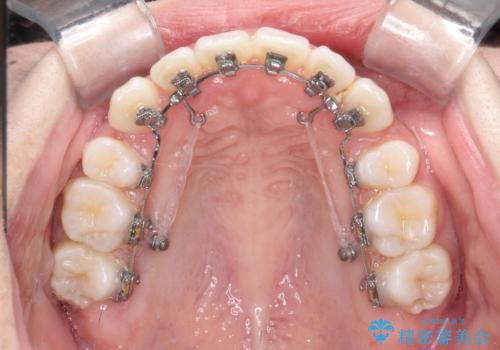
- 矯正装置
- ハーフリンガル
- 治療期間
- 2年11ヶ月
- 治療回数
- 10-30回
- 治療計画
- 前歯のガタツキと口元のコンプレックスを解消するために来院されました。
ハーフリンガルワイヤー矯正で治療を開始しました。
- 費用(概算)
- 124万円費用は治療当時の料金となります
治療について
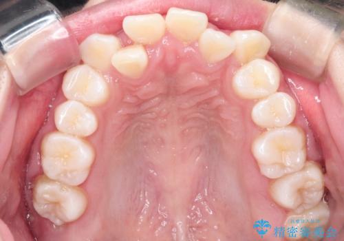
ハーフリンガル矯正は、見た目を気にせずに矯正治療ができる方法です。この治療法は、八重歯や前歯のガタツキを効果的に改善します。特徴として、ワイヤーが上の歯の裏側に装着されるため、装置が外から見えません。これにより、治療中も自然な笑顔を保ちながら安心して治療を続けることができます。歯並びの悩みを持つ方にとって、非常に魅力的な選択肢です。
ワイヤー矯正の注意事項(リスク・副作用など)
- 治療中は違和感や痛みが起こることがあります
- 症状により、抜歯が必要な場合があります
- 治療中は歯磨きがしにくくなるため、虫歯や歯周病になりやすくなります
- 矯正治療後の保定が不十分だと後戻り(元の位置に戻ろうとする動き)をします
- 自費診療(保険適用外)となります
当サイトの内容、テキスト、画像等の無断転載、複製、複写、盗用を固く禁じます。















