症例詳細
Case detail
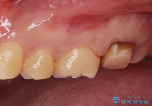
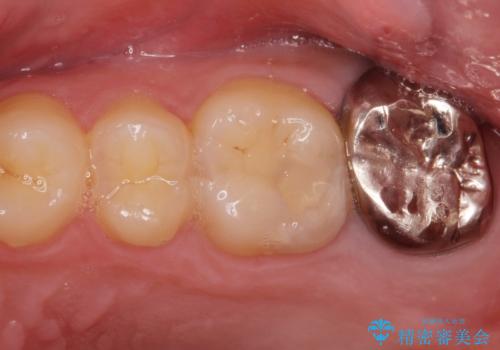
銀歯を無くしたい。
治療症例の内容
- 診療科目
 
- 治療カテゴリ
 
- 担当医
 - 青山卓弘(ドクタープロフィール)
 
- 患者様
 - 30代男性
 
- 治療期間
 - 2ヶ月
 
- 治療回数
 - 2-5回
 
- 治療計画
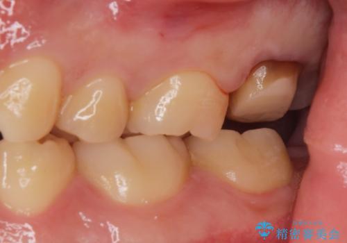
 - 銀歯を良いものに変えたいとの事で来院。
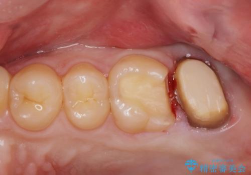
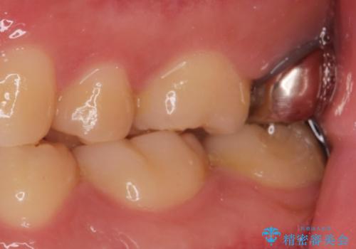
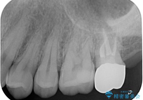
過去に根の治療もされている歯だが土台が粗造なため根の治療からやり直しを行いゴールドクラウンにて治療を行いました。
また手前のはに虫歯があったためセラミックの詰め物で治療しました。 
- 費用(概算)
 - PGAクラウン・仮歯 13.2万円 精密根管治療・コア 16.5万円 e-maxインレー 7.7万円費用は治療当時の料金となります
 
治療について
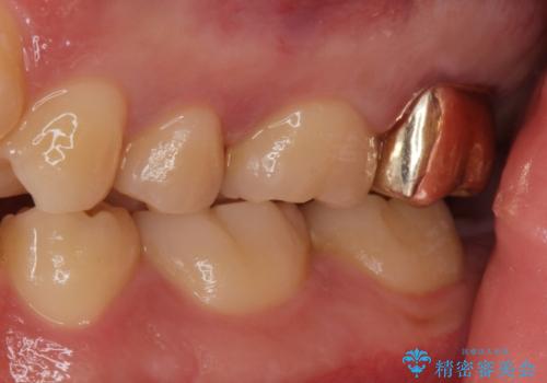
適合の良い被せ物が入りました。
ゴールドの被せ物は適合がよく虫歯の再発のリスクが低くなります。
また根の治療を行う時はラバーダムを行い治療しています。
セラミック治療の注意事項(リスク・副作用など)
- 天然歯を削ります
 - 硬い素材は天然歯を傷つけてしまう場合があります
 - かみ合わせや歯ぎしりが強すぎる方はセラミックが割れてしまう可能性があります
 - 自費診療(保険適用外治療)となります
 
PGA(ゴールド)クラウン、インレーの注意事項(リスク・副作用など)
- インレーおよびクラウンは脱離するリスクがあります
 - 形成量はセラミックより少ないですが、歯の形成、修復後に歯に症状が出ることがあります
 - 自費診療(保険適用外治療)となります
 
根管治療の注意事項(リスク・副作用など)
- 根管治療により類似の全ての症例の問題が解決するわけではなく、症例はあくまでも一例です
 - 根管治療により痛みや腫れがひかない事や、術後に痛みや腫れが生じる事、治療によるファイル破折やパーフォレーションなどの偶発症、術後の歯根破折を生じる可能性もあります
 - 自費診療(保険適用外)となります
 
その他の注意事項(リスク・副作用など)
- 担当歯科医師、歯科衛生士又は医院スタッフから受けた説明・注意事項をよくご確認ください
 - 医療を提供するに当たり、適切な説明を行い、患者様の十分な理解を得るよう努めております
 
当サイトの内容、テキスト、画像等の無断転載、複製、複写、盗用を固く禁じます。

                      
                                                          










