症例詳細
Case detail
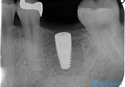
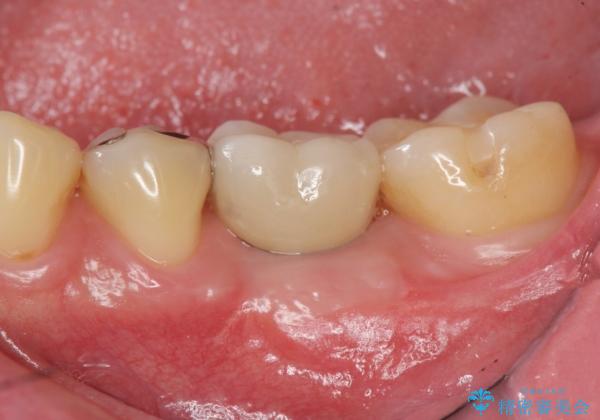
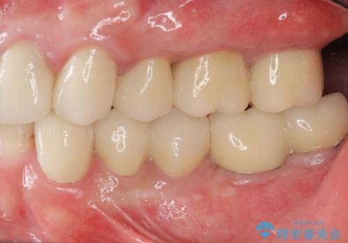
虫歯の再発による抜歯後のインプラント治療
治療症例の内容
- 診療科目
- 治療カテゴリ
- 担当医
- 大元洋佑(ドクタープロフィール)
- 患者様
- 30代男性
- 治療期間
- 8ヶ月
- 治療回数
- 5-10回
- 治療計画
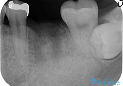
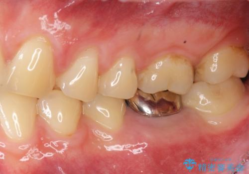
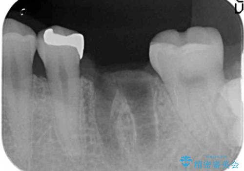
- 銀歯が揺れる、噛むと痛い、と治療を希望され来院されました。
銀歯・レジンコアを除去したところ、薄い残存歯質に亀裂が入り、保存が難しい状況が認められました。
歯を残すことが難しい状況であることの説明、抜歯の提案を行い、抜歯後はブリッジ・入れ歯ではなくインプラント治療を希望されました。
- 費用(概算)
- 44万円(インプラント・チタンカスタムアバットメント・ジルコニアクラウン・仮歯)費用は治療当時の料金となります
治療について
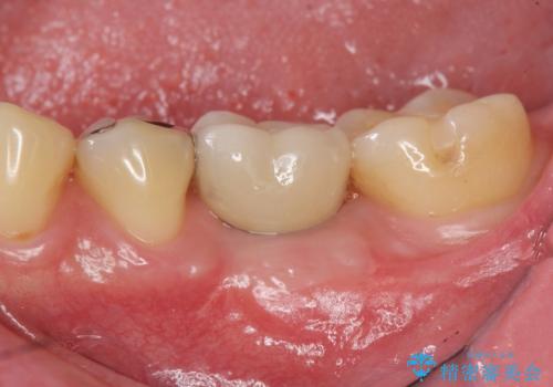
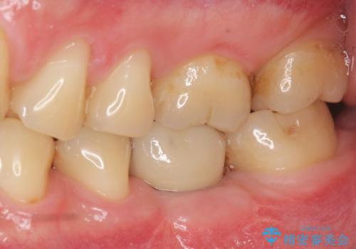
抜歯後、骨の再生を待ったことで、清掃性の高い位置に埋入を行い機能的・審美的なインプラント治療を行うことができました。
インプラント治療の注意事項(リスク・副作用など)
- 外科手術のため、術後に痛みや腫れ、違和感を伴います
- メンテナンスを怠ったり喫煙により、お口の中に大きな悪影響を及ぼすインプラント周囲炎等にかかる可能性があります
- 糖尿病、肝硬変、心臓病等の場合、インプラント治療ができない可能性があります
- 高血圧、貧血・不整脈等の場合、インプラント治療後に治癒不全を招く可能性があります
- 自費診療(保険適用外治療)となります
当サイトの内容、テキスト、画像等の無断転載、複製、複写、盗用を固く禁じます。

















