症例詳細
Case detail
一日で虫歯治療 セラミック即日修復
治療症例の内容
- 診療科目
- 治療カテゴリ
- 担当医
- 高悠莉(ドクタープロフィール)
- 患者様
- 30代女性
- 治療期間
- 1日
- 治療回数
- 1回
- 治療計画
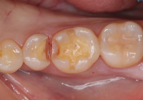
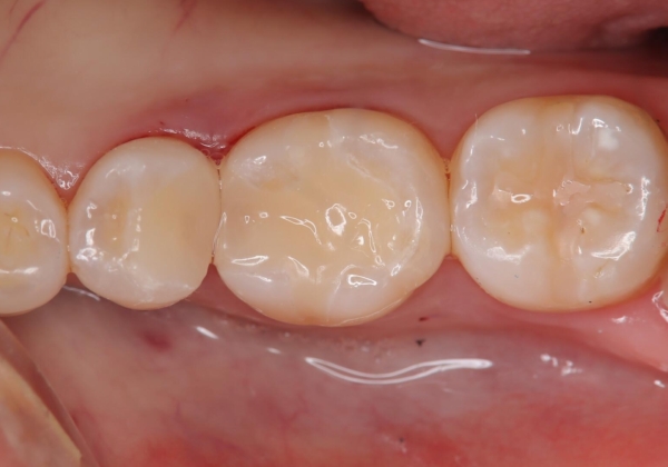
- 虫歯が複数個所あり、来院回数を抑えて治療をしたいという患者様でした。当院では光学スキャナ・ミリングマシンを設置しておりますので、1日でセラミック修復治療を完了させました。術後も良好な経過をたどっています。
- 費用(概算)
- 330,000円(税込)費用は治療当時の料金となります
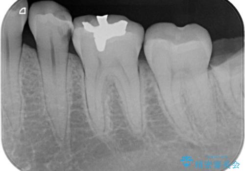
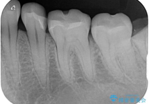
金属修復に対するMarkⅡ材料におけるメリット
メタル修復物の場合X線を通さない性質があり、レントゲン写真を撮るとメタルの部分が真っ白に写ってしまうため、詰め物の下の虫歯が分かりにくくなってしまうというデメリットがあります。これに対し、今回の即日セラミック修復に使用したMarkⅡという材料は、レントゲン写真からもわかる通り歯の一番外側の部分(エナメル質)と同程度のX線透過性を持ちます。そのため装着後も定期的なメンテナンスにより虫歯の再発を早期に発見できるメリットがあります。
セラミック治療の注意事項(リスク・副作用など)
- 天然歯を削ります
- 硬い素材は天然歯を傷つけてしまう場合があります
- かみ合わせや歯ぎしりが強すぎる方はセラミックが割れてしまう可能性があります
- 自費診療(保険適用外治療)となります
当サイトの内容、テキスト、画像等の無断転載、複製、複写、盗用を固く禁じます。







