症例詳細
Case detail
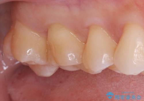
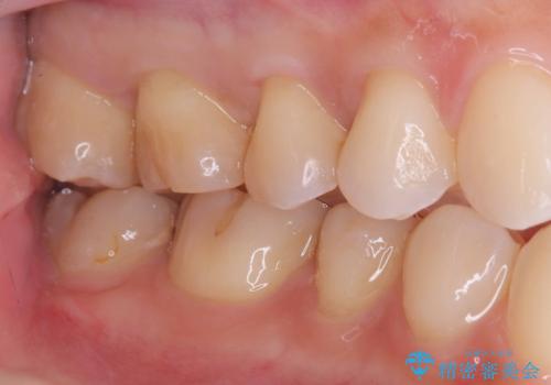
【セラミックインレー】咬合面のカリエス
治療症例の内容
- 診療科目
- 治療カテゴリ
- 担当医
- 河野豊嘉(ドクタープロフィール)
- 患者様
- 30代女性
- 治療期間
- 1ヶ月
- 治療回数
- 2-5回
- 治療計画
- メンテナンス時に見つかった虫歯です。二次カリエスのリスクを下げる為に虫歯を除去後セラミックインレーで治療を行いました。
- 費用(概算)
- 77,000円費用は治療当時の料金となります
治療について
咬合面の溝が深く虫歯のリスクが大きい患者様です。
他の歯も咬合面に同じように虫歯ができて大きくなってしまった経験があることから今回は大きくそして深く進行する前に虫歯を除去しセラミックインレーで治療を行いました。
セラミック治療の注意事項(リスク・副作用など)
- 天然歯を削ります
- 硬い素材は天然歯を傷つけてしまう場合があります
- かみ合わせや歯ぎしりが強すぎる方はセラミックが割れてしまう可能性があります
- 自費診療(保険適用外治療)となります
当サイトの内容、テキスト、画像等の無断転載、複製、複写、盗用を固く禁じます。









