症例詳細
Case detail
【セラミックインレー】他院で詰めた銀歯がフロスをしたら取れた!
治療症例の内容
- 診療科目
- 治療カテゴリ
- 担当医
- 河野豊嘉(ドクタープロフィール)
- 患者様
- 40代男性
- 治療期間
- 治療回数
- 2-5回
- 治療計画
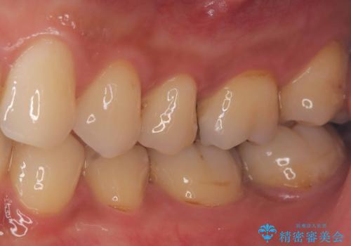
- 「フロスをしたら銀歯が取れた」を主訴に来院された患者様です。
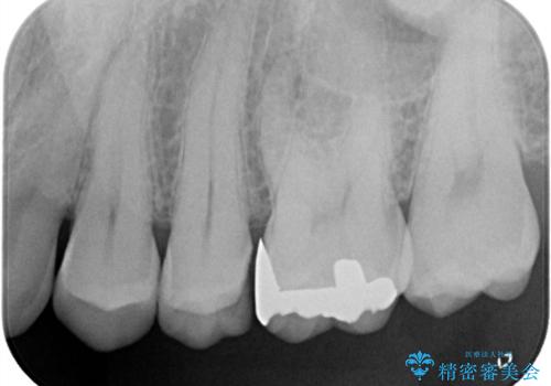
レントゲン検査で虫歯が認められました。
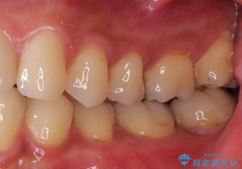
セラミックインレーで治療を行いました。
- 費用(概算)
- 77,000円費用は治療当時の料金となります
治療について
古い材料を除去後、その下に大きな虫歯が広がっていました。
神経の近くまで虫歯が広がっていたため、虫歯の除去後、神経を保護する材料をおきセラミックインレーで治療を行いました。
保険適応の銀歯ではどうしても歯との適合が悪く隙間が出来てしまったり、材質の劣化により再び虫歯になってしまうケースがとても多いです。
セラミック治療の注意事項(リスク・副作用など)
- 天然歯を削ります
- 硬い素材は天然歯を傷つけてしまう場合があります
- かみ合わせや歯ぎしりが強すぎる方はセラミックが割れてしまう可能性があります
- 自費診療(保険適用外治療)となります
当サイトの内容、テキスト、画像等の無断転載、複製、複写、盗用を固く禁じます。







