症例詳細
Case detail
e-maxインレー治療
治療症例の内容
- 診療科目
- 治療カテゴリ
- 担当医
- 青山卓弘(ドクタープロフィール)
- 患者様
- 20代女性
- 治療期間
- 1ヶ月
- 治療回数
- 2-5回
- 治療計画
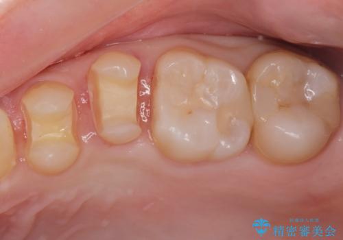
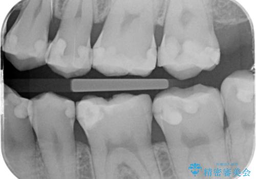
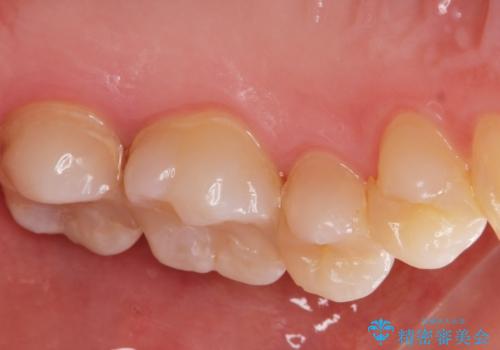
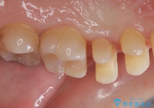
- 矯正前の患者様です。検査をしたところ虫歯が見られたので拡大鏡下で虫歯を取り除き
e-maxインレーで治療を行いました。
虫歯が多数ありましたのでまずは2本虫歯治療を行いました。
- 費用(概算)
- e-maxインレー 7.7万×2費用は治療当時の料金となります
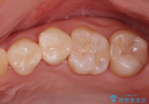
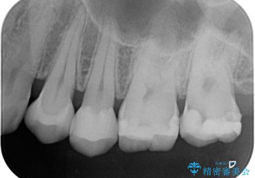
治療について
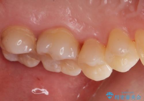
適合の良い詰め物が入りました。
虫歯がある状態で矯正を行うと矯正中に虫歯が悪化する可能性があるので先に治療を行なってから矯正をはじめます。
他の部位も治療予定です。
セラミック治療の注意事項(リスク・副作用など)
- 天然歯を削ります
- 硬い素材は天然歯を傷つけてしまう場合があります
- かみ合わせや歯ぎしりが強すぎる方はセラミックが割れてしまう可能性があります
- 自費診療(保険適用外治療)となります
その他の注意事項(リスク・副作用など)
- 担当歯科医師、歯科衛生士又は医院スタッフから受けた説明・注意事項をよくご確認ください
- 医療を提供するに当たり、適切な説明を行い、患者様の十分な理解を得るよう努めております
当サイトの内容、テキスト、画像等の無断転載、複製、複写、盗用を固く禁じます。








