症例詳細
Case detail
失った奥歯をインプラントで機能回復
治療症例の内容
- 診療科目
- 治療カテゴリ
- 担当医
- 大元洋佑(ドクタープロフィール)
- 患者様
- 40代男性
- 治療期間
- 8ヶ月
- 治療回数
- 2-5回
- 治療計画
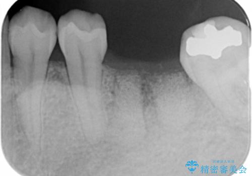
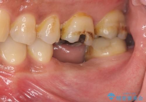
- 失った歯の機能回復を希望され来院されました。
取り外しの必要な入れ歯、隣の歯を削る必要のあるブリッジに心理的抵抗があり、インプラントを用いて咬合機能を回復していくこととなりました。
- 費用(概算)
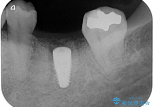
- 44万円(インプラント・チタンカスタムアバットメント・ジルコニアクラウン・仮歯)費用は治療当時の料金となります
治療について
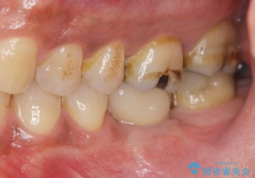
元あった歯のようにしっかりと咬合機能が回復することができました。
インプラント治療の注意事項(リスク・副作用など)
- 外科手術のため、術後に痛みや腫れ、違和感を伴います
- メンテナンスを怠ったり喫煙により、お口の中に大きな悪影響を及ぼすインプラント周囲炎等にかかる可能性があります
- 糖尿病、肝硬変、心臓病等の場合、インプラント治療ができない可能性があります
- 高血圧、貧血・不整脈等の場合、インプラント治療後に治癒不全を招く可能性があります
- 自費診療(保険適用外治療)となります
当サイトの内容、テキスト、画像等の無断転載、複製、複写、盗用を固く禁じます。














