症例詳細
Case detail
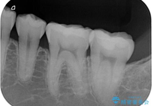
銀歯の横が虫歯、自費治療でやり直してセラミックに
治療症例の内容
- 診療科目
- 治療カテゴリ
- 担当医
- 井上季実子(ドクタープロフィール)
- 患者様
- 30代男性
- 治療期間
- 1ヶ月
- 治療回数
- 2-5回
- 治療計画
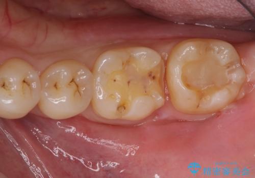
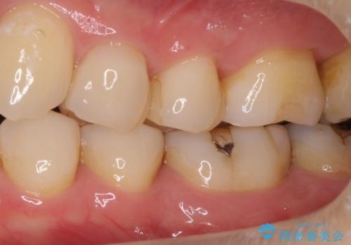
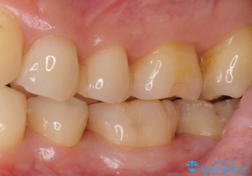
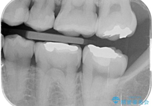
- 左下の銀歯の横から小さい虫歯になっていたため治療しました。
- 費用(概算)
- 15.4万円(emaxインレー 7.7万円x2本)費用は治療当時の料金となります
治療について
自費のインレーは、ゴールドかセラミックが選択可能です。
今回は患者様のご希望によりセラミックとなりました。
治療は歯型とり、インレーの装着の2回かかります。
セラミック治療の注意事項(リスク・副作用など)
- 天然歯を削ります
- 硬い素材は天然歯を傷つけてしまう場合があります
- かみ合わせや歯ぎしりが強すぎる方はセラミックが割れてしまう可能性があります
- 自費診療(保険適用外治療)となります
当サイトの内容、テキスト、画像等の無断転載、複製、複写、盗用を固く禁じます。







