症例詳細
Case detail
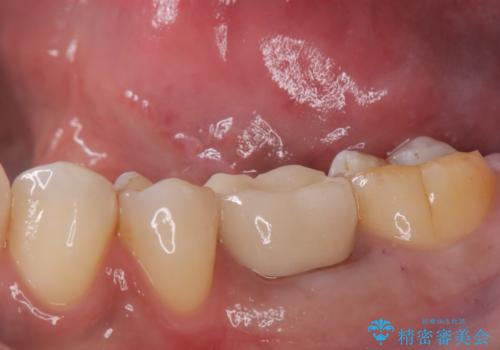
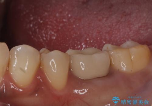
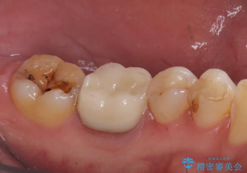
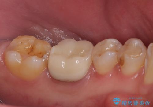
銀歯がとれた セラミックインレーで修復
治療症例の内容
- 診療科目
- 治療カテゴリ
- 担当医
- 患者様
- 50代男性
- 治療期間
- 1ヶ月
- 治療回数
- 2-5回
- 治療計画
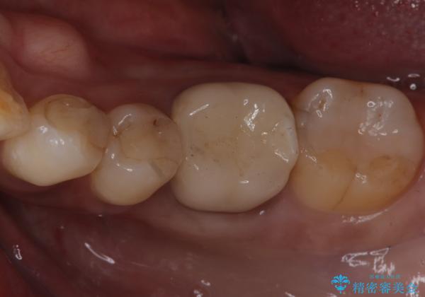
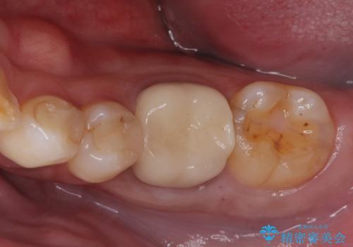
- 銀歯が取れたとのことで来院されました。
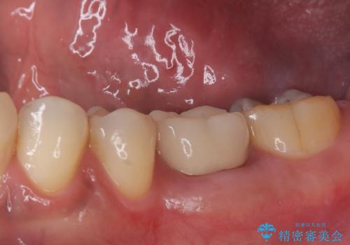
 拡大鏡下で丁寧に虫歯を取り除き、セラミックインレーによる修復治療を行いました。
- 費用(概算)
- 7万7千円費用は治療当時の料金となります
治療について
銀歯を固着するセメントは経年劣化し溶け、隙間ができます。そこにプラークが侵入して虫歯が再発します。今回のように銀歯が脱離してしまうこともあります。
今回は銀歯が取れたので、虫歯が神経まで達して痛みが出る前に、強度・審美に優れ、虫歯の再発の少ないセラミックインレーにて治療を行うことができました。
セラミック治療の注意事項(リスク・副作用など)
- 天然歯を削ります
- 硬い素材は天然歯を傷つけてしまう場合があります
- かみ合わせや歯ぎしりが強すぎる方はセラミックが割れてしまう可能性があります
- 自費診療(保険適用外治療)となります
当サイトの内容、テキスト、画像等の無断転載、複製、複写、盗用を固く禁じます。








 
                       
                                                          










 
                   
                   
                  