症例詳細
Case detail
[40代女性] 口元を引っ込めたい 大きく改善
治療症例の内容
- 診療科目
- 治療カテゴリ
- 担当医
- 井上季実子(ドクタープロフィール)
- 患者様
- 40代女性
- 矯正装置
- 審美装置
- 治療期間
- 2年3ヶ月
- 治療回数
- 10-30回
- 治療計画
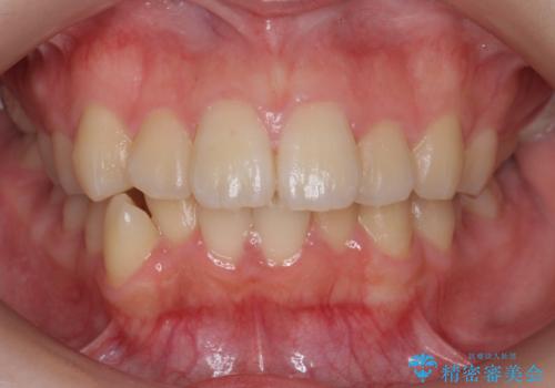
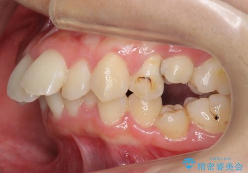
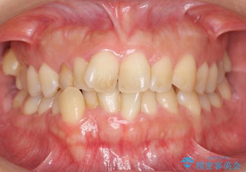
- 口元の突出感を気にして来院。
ガタつきは少ないですが、上下前歯が前方に突出した、上下顎前突でした。
下の前歯を支える骨が薄く、歯肉退縮のリスクがありました。
抜歯して前歯を後方に下げる治療を希望されたため、様子を見ながら移動をしていくことにしました。
上下小臼歯を抜歯しています。
- 費用(概算)
- 88万円費用は治療当時の料金となります
治療について
当院に来る前は、某美容外科の歯科で、上下前歯をかぶせて200万と言われたとのことでした。
それでは前歯の位置は変わらず、健康な歯を削って形が多少変わるだけで口元も引っ込みません。
下の歯槽骨が薄くリスクもありましたが、結果矯正治療をして、かぶせ物よりも効果のある治療ができたと自負しています。
ワイヤー矯正の注意事項(リスク・副作用など)
- 治療中は違和感や痛みが起こることがあります
- 症状により、抜歯が必要な場合があります
- 治療中は歯磨きがしにくくなるため、虫歯や歯周病になりやすくなります
- 矯正治療後の保定が不十分だと後戻り(元の位置に戻ろうとする動き)をします
- 自費診療(保険適用外)となります
当サイトの内容、テキスト、画像等の無断転載、複製、複写、盗用を固く禁じます。

![[40代女性] 口元を引っ込めたい 大きく改善の治療前](https://seimitsushinbi.jp/wp/wp-content/uploads/2018/01/C65-500x350.jpg)
![[40代女性] 口元を引っ込めたい 大きく改善の治療中](https://seimitsushinbi.jp/wp/wp-content/uploads/2018/01/C67-500x350.jpg)
![[40代女性] 口元を引っ込めたい 大きく改善の治療後](https://seimitsushinbi.jp/wp/wp-content/uploads/2018/01/C1071-500x350.jpg)
![[40代女性] 口元を引っ込めたい 大きく改善の治療前](https://seimitsushinbi.jp/wp/wp-content/uploads/2018/01/C74-500x350.jpg)
![[40代女性] 口元を引っ込めたい 大きく改善の治療中](https://seimitsushinbi.jp/wp/wp-content/uploads/2018/01/C68-500x350.jpg)
![[40代女性] 口元を引っ込めたい 大きく改善の治療後](https://seimitsushinbi.jp/wp/wp-content/uploads/2018/01/C1081-500x350.jpg)
![[40代女性] 口元を引っ込めたい 大きく改善の治療前](https://seimitsushinbi.jp/wp/wp-content/uploads/2018/01/C93-500x350.jpg)
![[40代女性] 口元を引っ込めたい 大きく改善の治療中](https://seimitsushinbi.jp/wp/wp-content/uploads/2018/01/C69-500x350.jpg)
![[40代女性] 口元を引っ込めたい 大きく改善の治療後](https://seimitsushinbi.jp/wp/wp-content/uploads/2018/01/C1091-500x350.jpg)
![[40代女性] 口元を引っ込めたい 大きく改善の治療前](https://seimitsushinbi.jp/wp/wp-content/uploads/2018/01/C121-500x350.jpg)
![[40代女性] 口元を引っ込めたい 大きく改善の治療中](https://seimitsushinbi.jp/wp/wp-content/uploads/2018/01/C70-500x350.jpg)
![[40代女性] 口元を引っ込めたい 大きく改善の治療後](https://seimitsushinbi.jp/wp/wp-content/uploads/2018/01/C1101-500x350.jpg)
![[40代女性] 口元を引っ込めたい 大きく改善の治療前](https://seimitsushinbi.jp/wp/wp-content/uploads/2018/01/C28-500x350.jpg)
![[40代女性] 口元を引っ込めたい 大きく改善の治療中](https://seimitsushinbi.jp/wp/wp-content/uploads/2018/01/C711-500x350.jpg)
![[40代女性] 口元を引っ込めたい 大きく改善の治療後](https://seimitsushinbi.jp/wp/wp-content/uploads/2018/01/C1111-500x350.jpg)
![[40代女性] 口元を引っ込めたい 大きく改善の治療前(顔貌)](https://seimitsushinbi.jp/wp/wp-content/uploads/2018/01/C4-.jpg)
![[40代女性] 口元を引っ込めたい 大きく改善の治療後(顔貌)](https://seimitsushinbi.jp/wp/wp-content/uploads/2018/01/C104-.jpg)
![[40代女性] 口元を引っ込めたい 大きく改善の治療前(顔貌)](https://seimitsushinbi.jp/wp/wp-content/uploads/2018/01/C5-.jpg)
![[40代女性] 口元を引っ込めたい 大きく改善の治療後(顔貌)](https://seimitsushinbi.jp/wp/wp-content/uploads/2018/01/C106-.jpg)
![[40代女性] 口元を引っ込めたい 大きく改善の治療前(顔貌)](https://seimitsushinbi.jp/wp/wp-content/uploads/2018/01/C3-.jpg)
![[40代女性] 口元を引っ込めたい 大きく改善の治療後(顔貌)](https://seimitsushinbi.jp/wp/wp-content/uploads/2018/01/C103-.jpg)