症例詳細
Case detail
【セラミックインレー】詰め物が外れたので綺麗にしたい
治療症例の内容
- 診療科目
- 治療カテゴリ
- 担当医
- 町田睦月(ドクタープロフィール)
- 患者様
- 40代女性
- 治療期間
- 1ヶ月
- 治療回数
- 2-5回
- 治療計画
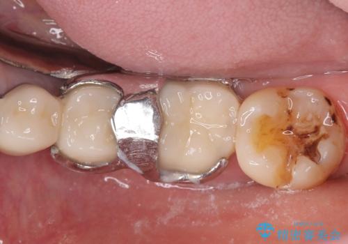
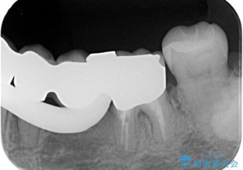
- 主訴:左下一番奥の銀の詰め物が外れてしまった。やり替えを機に綺麗なものを入れたい。
保険のメタルインレー脱離によるやり替え希望だったため、審美性・清掃性の良いセラミックインレーでのやり替えとなりました。
- 費用(概算)
- 77,000円費用は治療当時の料金となります
治療について
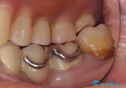
メタルインレー脱離後の窩洞をセラミックインレー窩洞に再形成し直し印象しています。遠心・舌側面のカリエスの除去、残存歯質の破折リスクを考えアンレー形態となりました。
アンレー装着時にはラバーダム防湿を行っています。
セラミック治療の注意事項(リスク・副作用など)
- 天然歯を削ります
- 硬い素材は天然歯を傷つけてしまう場合があります
- かみ合わせや歯ぎしりが強すぎる方はセラミックが割れてしまう可能性があります
- 自費診療(保険適用外治療)となります
当サイトの内容、テキスト、画像等の無断転載、複製、複写、盗用を固く禁じます。











