症例詳細
Case detail
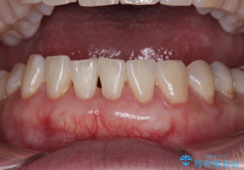
下がってきた歯茎を何とかしたい 歯肉移植による歯肉退縮の改善
治療症例の内容
- 診療科目
- 治療カテゴリ
- 担当医
- 藤巻太一朗(ドクタープロフィール)
- 患者様
- 50代女性
- 治療期間
- 5ヶ月
- 治療回数
- 2-5回
- 治療計画
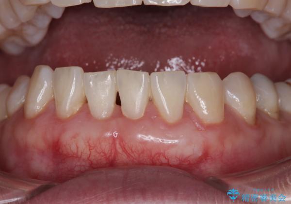
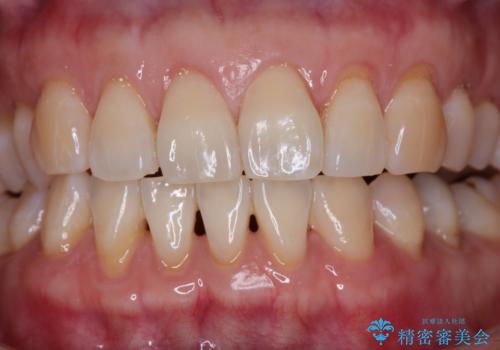
- 年々歯肉退縮が進行することを気にして来院された患者様です。
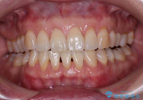
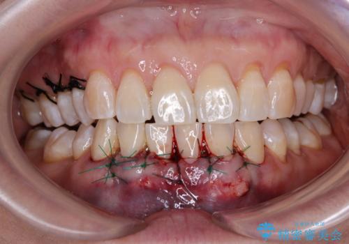
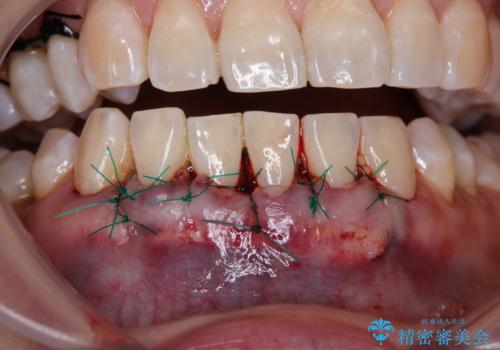
 歯肉が菲薄であることが経年的な進行の原因であることが推察されたため、上顎からの結合組織移植術(CTG)により、歯根の被覆を行うとともに、歯肉の厚みを増すことで将来の退縮リスクを抑制することとしました。
 被覆量が不十分の場合には、追加で手術を行うことで患者様の了解を得ました。
- 費用(概算)
- 治療費の目安: 28万円(税込)費用は治療当時の料金となります
治療について
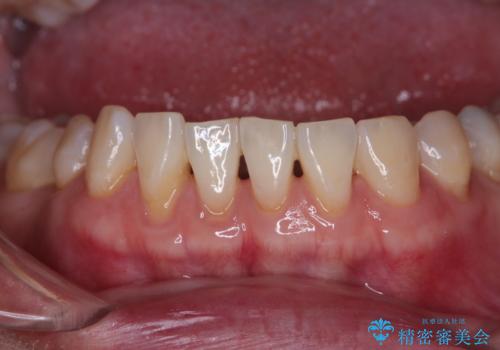
歯肉が薄い状態であったため、歯肉退縮が起こりやすいと判断された患者様でした。
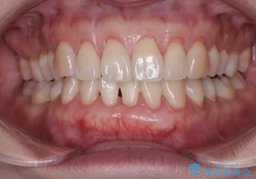
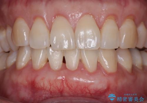
根面被覆を達成するとともに、歯肉の厚みを増すことで、今後歯肉退縮を起こしにくくするよう配慮した処置としました。
歯周病治療の注意事項(リスク・副作用など)
- 外科手術のため、術後に痛みや腫れ、違和感を伴います
- 歯周組織再生治療は患者様の状態によって術後の経過が異なります(見た目が改善しない場合もあります)
- 歯周組織再生治療は自費診療(保険適用外)となります
当サイトの内容、テキスト、画像等の無断転載、複製、複写、盗用を固く禁じます。








 
                       
                                                          










 
                   
                   
                  