症例詳細
Case detail
APF(歯肉弁根尖側移動術)
治療症例の内容
- 診療科目
- 治療カテゴリ
- 担当医
- 青山卓弘(ドクタープロフィール)
- 患者様
- 20代男性
- 治療期間
- 2ヶ月
- 治療回数
- 2-5回
- 治療計画
- 銀歯を白くしたくて来院。
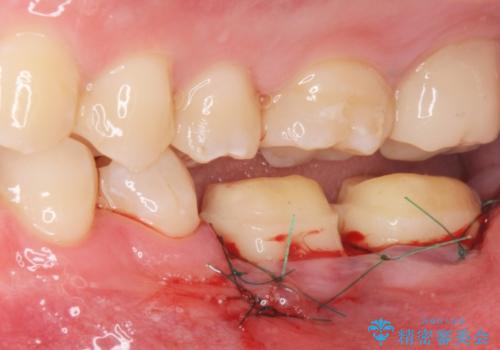
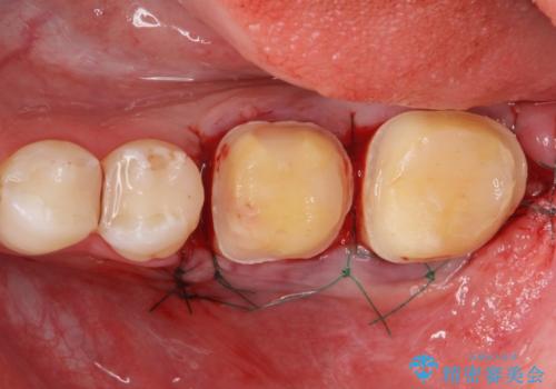
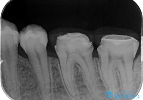
銀歯を外して被せ物の予定でしたが歯の高さが低く取れやすい被せ物になってしまうため歯の高さを変える手術を行いました。
まずはメタルを全て外し仮歯にして、手前のメタルインレーは手術前にセラミックインレーの治療を行いました。
- 費用(概算)
- APF 16.5万円 セラミックインレー 7.7万円×2費用は治療当時の料金となります
治療について
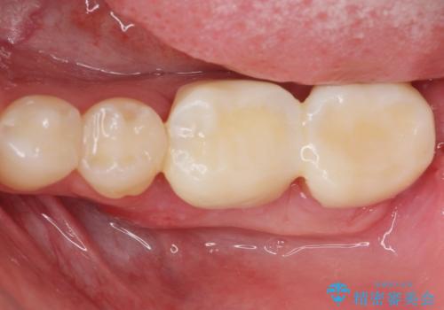
治療後の写真は2週間後の写真です。歯茎の治癒が完全に治るのは半年くらいかかるので半年後に最終的な被せ物を入れる予定です。
外科処置の注意事項(リスク・副作用など)
- 外科手術のため、術後に出血、痛みや腫れ、違和感を伴います
- 口腔内の状態によっては適応できないことがあります
その他の注意事項(リスク・副作用など)
- 担当歯科医師、歯科衛生士又は医院スタッフから受けた説明・注意事項をよくご確認ください
- 医療を提供するに当たり、適切な説明を行い、患者様の十分な理解を得るよう努めております
当サイトの内容、テキスト、画像等の無断転載、複製、複写、盗用を固く禁じます。











