症例詳細
Case detail
口元を引っ込めたい 前歯のガタガタ
治療症例の内容
- 診療科目
- 担当医
- 井上季実子(ドクタープロフィール)
- 患者様
- 20代女性
- 矯正装置
- 審美装置
- 治療期間
- 2年1ヶ月
- 治療回数
- 10-30回
- 治療計画
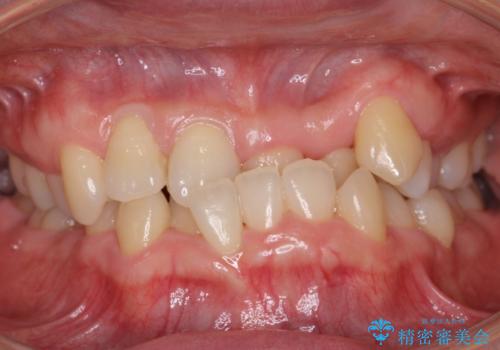
- 前歯のガタガタ、口元の突出感を気にして来院。
歯が出ているせいで口唇が閉じにくく、閉じるとふくれっつらのようになってしまう状態でした。
上下小臼歯を抜歯し、前歯の角度を立てて、位置を後ろに下げました。
- 費用(概算)
- 90万円費用は治療当時の料金となります
治療について
前歯をしっかり下げるため、矯正用ミニスクリューを用いました。
口元を劇的に改善することができました。
ワイヤー矯正の注意事項(リスク・副作用など)
- 治療中は違和感や痛みが起こることがあります
- 症状により、抜歯が必要な場合があります
- 治療中は歯磨きがしにくくなるため、虫歯や歯周病になりやすくなります
- 矯正治療後の保定が不十分だと後戻り(元の位置に戻ろうとする動き)をします
- 自費診療(保険適用外)となります
当サイトの内容、テキスト、画像等の無断転載、複製、複写、盗用を固く禁じます。





















