症例詳細
Case detail
虫歯部分を白い詰め物で治したい
治療症例の内容
- 診療科目
 
- 治療カテゴリ
 
- 担当医
 - 小澤俊哉(ドクタープロフィール)
 
- 患者様
 - 20代女性
 
- 治療期間
 - 1ヶ月
 
- 治療回数
 - 2-5回
 
- 治療計画
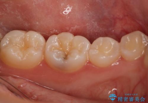
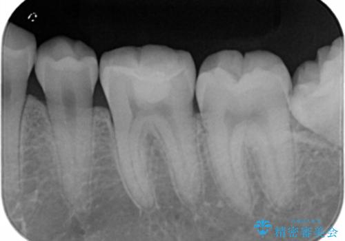
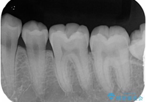
 - 10年以上ぶりに歯科に来院された患者です。
口腔内・レントゲン写真からう蝕が見られたので治療を勧めたところ、自費治療を希望されたのでセラミックインレーにて治療を行いました。 
- 費用(概算)
 - 77000円費用は治療当時の料金となります
 
治療について
左下6番のカリエス除去を行ったところ、深くまで削る必要があったため、CR裏層をした上でセラミックインレー形成をしました。
セラミック治療の注意事項(リスク・副作用など)
- 天然歯を削ります
 - 硬い素材は天然歯を傷つけてしまう場合があります
 - かみ合わせや歯ぎしりが強すぎる方はセラミックが割れてしまう可能性があります
 - 自費診療(保険適用外治療)となります
 
当サイトの内容、テキスト、画像等の無断転載、複製、複写、盗用を固く禁じます。

                      
                                                          






