症例詳細
Case detail
【セラミックインレー】詰め物が外れたので、ついでに白くしたい
治療症例の内容
- 診療科目
- 治療カテゴリ
- 担当医
- 町田睦月(ドクタープロフィール)
- 患者様
- 20代女性
- 治療期間
- 1ヶ月
- 治療回数
- 2-5回
- 治療計画
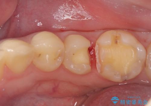
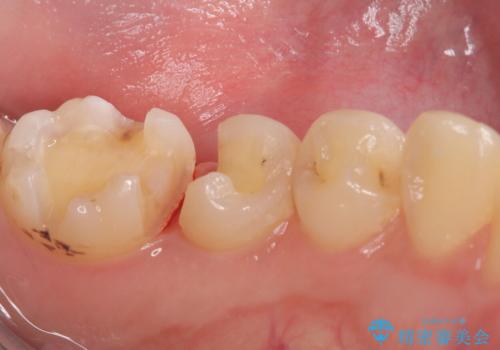
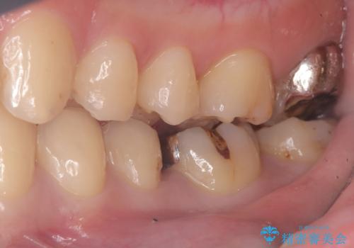
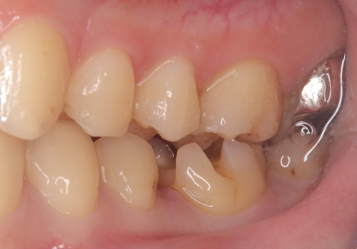
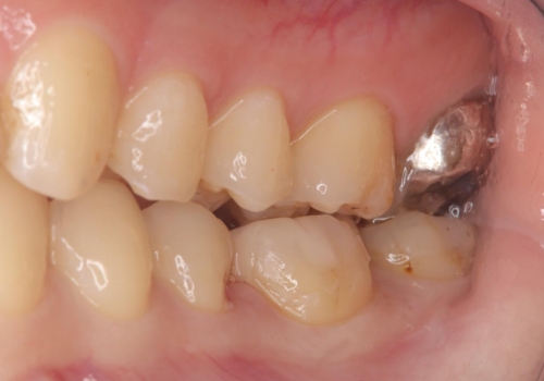
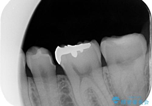
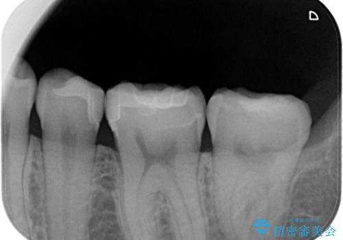
- 主訴:銀の詰め物が取れた、奥の銀の詰め物も一緒に白くしたい
保険適用のメタルインレーの脱離で来院されました。審美性、適合性、清掃性の観点から2本ともセラミックインレーでのやり替えとなりました。
- 費用(概算)
- 154,000円費用は治療当時の料金となります
治療について
保険適用のメタルインレーはセラミックやゴールドに比べるとプラークなどの汚れが付きやすく、また今回はそこまで大きなう蝕は広がっていませんでしたが、適合性に限界があるためインレーと歯質との境目で二次う蝕が発生する可能性が高くなります。
セラミック治療の注意事項(リスク・副作用など)
- 天然歯を削ります
- 硬い素材は天然歯を傷つけてしまう場合があります
- かみ合わせや歯ぎしりが強すぎる方はセラミックが割れてしまう可能性があります
- 自費診療(保険適用外治療)となります
当サイトの内容、テキスト、画像等の無断転載、複製、複写、盗用を固く禁じます。











