症例詳細
Case detail
出っ歯と歯のねじれ 非抜歯で 30代男性
治療症例の内容
- 担当医
- 井上季実子(ドクタープロフィール)
- 患者様
- 30代男性
- 矯正装置
- インビザライン
- 治療期間
- 9ヶ月
- 治療回数
- 10-30回
- 治療計画
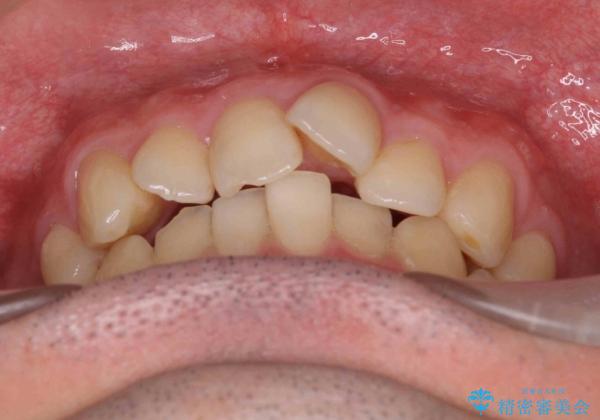
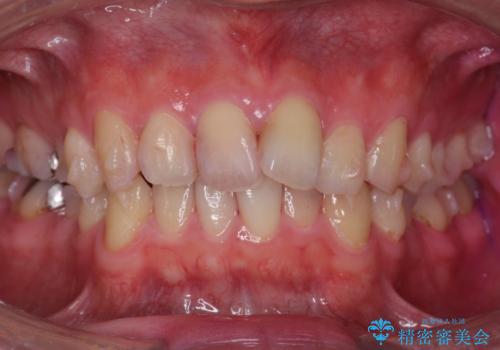
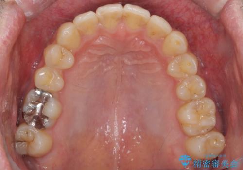
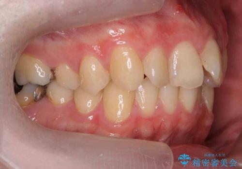
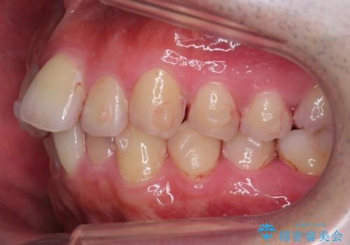
- 前歯の並びを気にして来院。
 
 右の歯並びが1本分上が前にずれていました。
 本来は抜歯して上の前歯を引っ込めるか、歯を一本分上の奥歯を後ろに下げるやり方が正攻法ですが、
 ご本人はそこまでご希望されていませんでした。
 
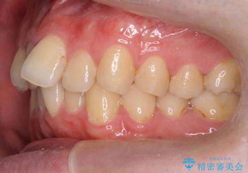
 奥歯のかみ合わせを特に変えず、前歯の並びを整える治療をおこないました。
 
 奥歯のかみ合わせは1本分ずれているとはいえ、1歯対2歯の交互のかみ合わせになっているため、そのままにしてもそこまで大きなデメリットはありません。
 右上のかみ合わせをそのままにするため、上下の正中は合わない仕上がりとなります。
 
- 費用(概算)
- 93.5万円費用は治療当時の料金となります
治療について
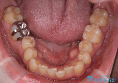
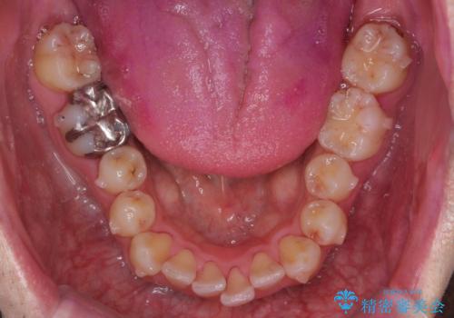
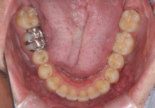
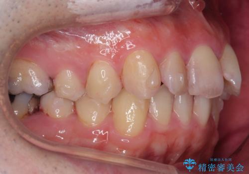
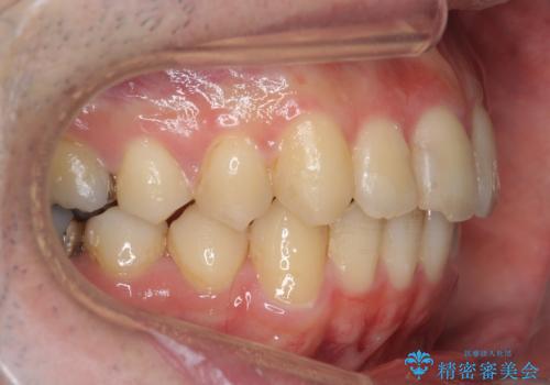
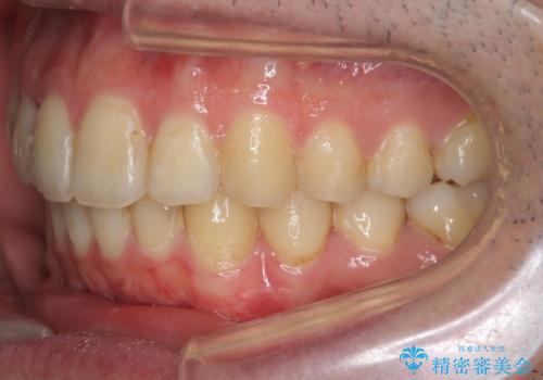
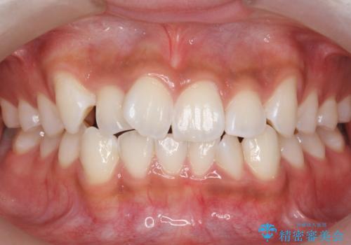
今回は右のかみ合わせはそのままにしました。左は特に初めから問題ない状態でした。
右のかみ合わせを変えず部分矯正にしたことによって、治療が短期間で済み、また、ワイヤーでなくインビザラインで治療が可能、歯も抜かなくて済むなどメリットの多い方法であるといえます。
マウスピース矯正の注意事項(リスク・副作用など)
- 口腔内・歯並びの状態によっては対応できない場合があります
- マウスピース型矯正装置の長時間装着(1日20時間以上)が必須です
- 治療計画通りに進めるためには、患者様の意志が重要になります
- 矯正治療後の保定が不十分だと後戻り(元の位置に戻ろうとする動き)をします
- 薬機法対象外の矯正歯科装置のため医薬品副作用被害救済制度の対象外となる場合があります
- 自費診療(保険適用外)となります
当サイトの内容、テキスト、画像等の無断転載、複製、複写、盗用を固く禁じます。








 
                       
                                                          

















 
                   
                   
                  