症例詳細
Case detail
NEW ティオンオフィスホワイトニング(処置前クリーニング込)
治療症例の内容
- 診療科目
- 治療カテゴリ
- 患者様
- 20代女性
- 治療期間
- 1ヶ月
- 治療回数
- 2-5回
- 治療計画
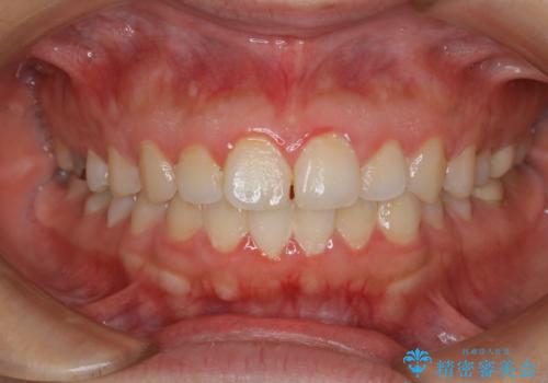
- 挙式や前撮りがあるため、歯を白くしたい。との事で来院されました。
処置前クリーニング → オフィスのティオンホワイトニング→トリートメント(追加オプション)→ホームホワイトニングの流れで行うことになりました。
- 費用(概算)
- 61,050円費用は治療当時の料金となります
治療について
挙式や前撮りがあるため、歯を白くしたい。とのことで来院されました。
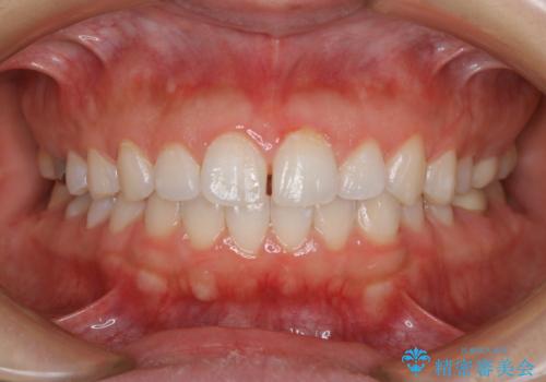
しっかり白くされたいご希望があったため、オフィスのティオンホワイトニングとホームホワイトニングをしていくことになりました。
白くなる個人差はありますが、この患者様は1度でとても満足されていました。ここから2週間ホームホワイトニングを行いさらにキレイな白さに近づけ、また白さを持続させていきます。
表参道しらゆり歯科のNEW オフィスホワイトニングは、お時間を2時間頂き丁寧かつ慎重に施術させて頂いております。
少しでも気になる方やご不明な点等ございましたら、無料のホワイトニングカウンセリングがありますので、WEB、お電話からのご予約お待ちしております。
無料相談予約はこちら
https://omote-sando.dental/counseling/
ホワイトニングの注意事項(リスク・副作用など)
- 知覚過敏が出ることがあります
- ホワイトバンドや白い斑点が出ることがあります
- クラウンやインレー等の補綴物には効果がありません
- ホワイトニングによる効果や持続期間には個人差があります
- 歯牙の状態によっては適応できないことがあります
- 保険適用外となります
PMTCの注意事項(リスク・副作用など)
- 歯を白くする目的の施術ではありません
- 保険適用外となります
当サイトの内容、テキスト、画像等の無断転載、複製、複写、盗用を固く禁じます。



