症例詳細
Case detail
- 患者様
- 8歳 女子
- 治療期間
- 1日
- 治療回数
- 1回
- 治療計画
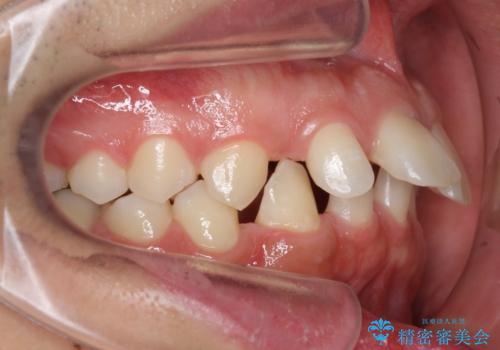
- 歯並びについて一度診てもらいたいとご来院。
上唇と歯ぐきを結ぶひも(上唇小帯)が長く、上の前歯の間にまで伸びていました。
このままでは自然に前歯の隙間は閉じない可能性がありました。
そこで、上唇小帯切除術を行い、前歯の隙間が閉じにくくなるのを防ぎました。
術前に上唇をめくった状態で歯の間にあった、白い部分(貧血帯)が無くなったのが術後の写真でわかります。
生え変わり自体は問題なかったため経過観察しています。
永久歯の前歯が生えてきた際、顎と歯の大きさの不調和がない限り、生え変わりに伴ってたいていの隙間は自然に閉じます。
しかし、中には上唇小帯の高位付着が原因で隙間が残ってしまったり、矯正治療で閉じても再度開きやすい方がいらっしゃいます。
早めに処置をすれば自然に閉じることが多いので、ぜひ一度気になる方はご相談ください。
- 費用(概算)
- 保険治療費用は治療当時の料金となります
治療について
処置自体は非常に簡単で10分ほどで終わります。
また、局所麻酔をして行いますので痛くありません。
術後1週間で抜糸しました。
恐怖心の強い方は静脈内鎮静も可能ですが、たいていは必要ないでしょう。
外科処置の注意事項(リスク・副作用など)
- 外科手術のため、術後に出血、痛みや腫れ、違和感を伴います
- 口腔内の状態によっては適応できないことがあります
当サイトの内容、テキスト、画像等の無断転載、複製、複写、盗用を固く禁じます。






