症例詳細
Case detail
咬んでも前歯が閉じない 矯正治療で見た目を含めて改善
治療症例の内容
- 診療科目
- 担当医
- 井上季実子(ドクタープロフィール)
- 患者様
- 20代女性
- 矯正装置
- インビザライン
- 治療期間
- 1年5ヶ月
- 治療回数
- 10-30回
- 治療計画
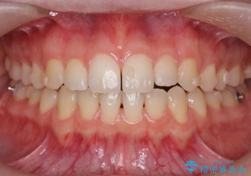
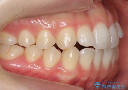
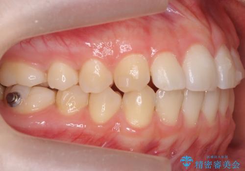
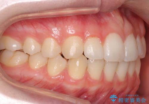
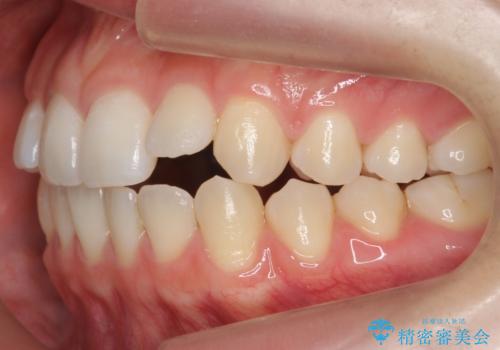
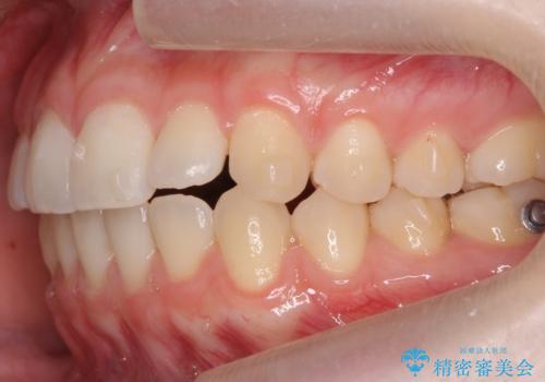
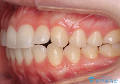
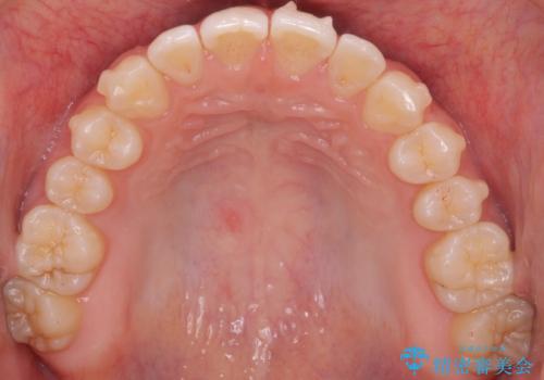
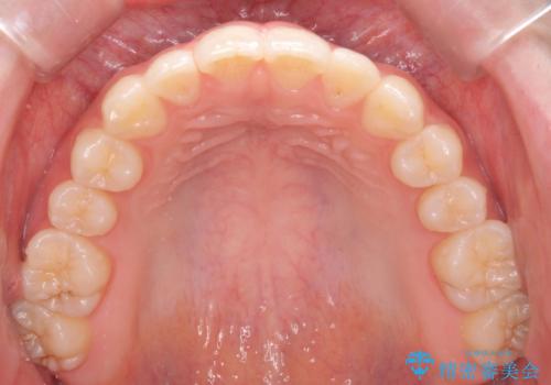
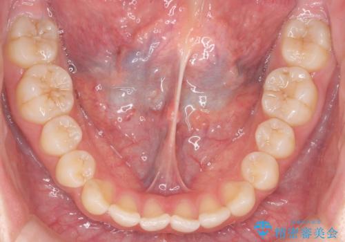
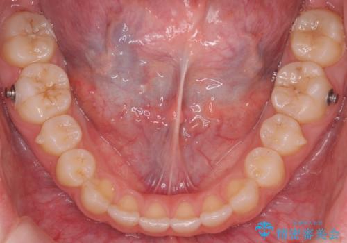
- 前歯の並びを気にして来院。
咬んでも向こう側が見える、前歯が閉じない症状でした。また、上の前歯が少し前に出ている状態でした。
上の前歯をわずかに削る処置を行い、後ろに下げながら下の歯となるべく咬むように矯正治療を行いました。
- 費用(概算)
- 93.5万円費用は治療当時の料金となります
治療について
治療前に、患者様が矯正ではなくセラミッククラウンで前歯をかぶせる治療についても気にされてました。
歯の位置が悪く、下の歯と咬まない為咬ませようとすると長い歯になる上に、神経をとらないとひっこめることが難しいと説明を行い、矯正治療をおすすめし、行うこととなりました。
マウスピース矯正の注意事項(リスク・副作用など)
- 口腔内・歯並びの状態によっては対応できない場合があります
- マウスピース型矯正装置の長時間装着(1日20時間以上)が必須です
- 治療計画通りに進めるためには、患者様の意志が重要になります
- 矯正治療後の保定が不十分だと後戻り(元の位置に戻ろうとする動き)をします
- 薬機法対象外の矯正歯科装置のため医薬品副作用被害救済制度の対象外となる場合があります
- 自費診療(保険適用外)となります
当サイトの内容、テキスト、画像等の無断転載、複製、複写、盗用を固く禁じます。















