症例詳細
Case detail
歯の着色を落としたい
治療症例の内容
- 診療科目
- 治療カテゴリ
- 患者様
- 20代女性
- 治療期間
- 1日
- 治療回数
- 1回
- 治療計画
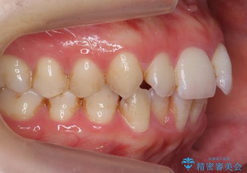
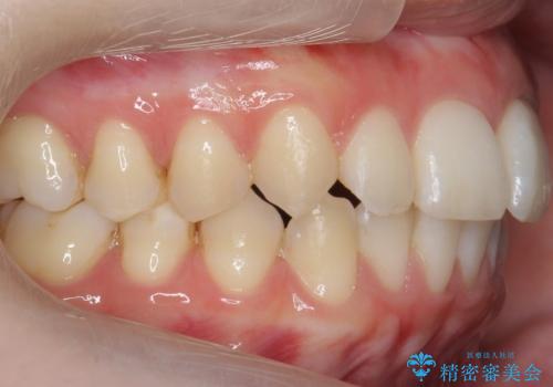
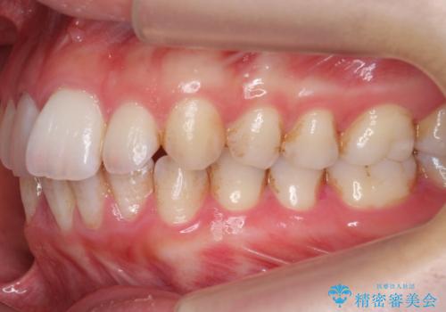
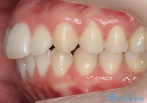
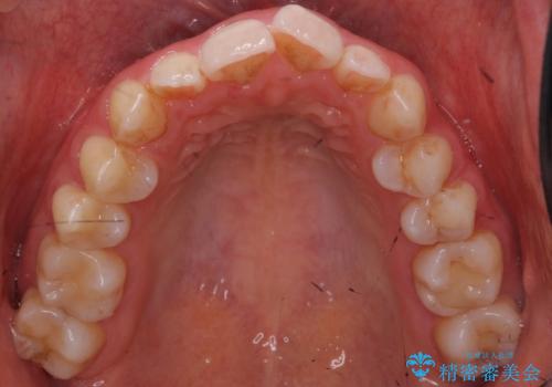
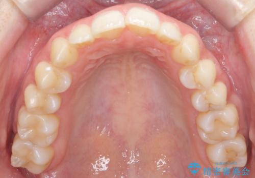
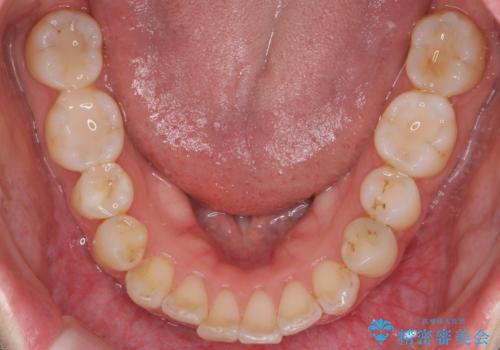
- 表面の着色を気にされて、ご来院されました。
お話しをしたところ、リーズナブルに短時間で綺麗にしたいとの事でした。
そこでPMTCの30分コースで、目立つ部分を中心に落としていきました。
- 費用(概算)
- 5,500円費用は治療当時の料金となります
治療について
タバコのヤニ・茶渋などの歯の着色除去は、保険適用外になります。
当院ではブラシ・クリームで研磨するPMTCに加え、
細かい所まで着色除去できるエアフローも取り揃えておりますので、
落としたい範囲やご予算に応じて、ご相談に応じます。
担当衛生士 杉本
PMTCの注意事項(リスク・副作用など)
- 歯を白くする目的の施術ではありません
- 保険適用外となります
当サイトの内容、テキスト、画像等の無断転載、複製、複写、盗用を固く禁じます。










